CASE REPORT

 

Irreducible Knee Dislocation Associated with Interposition of Medial Structures: A Case Report

 

Ricardo Londoño García, Miguel Á. Cano González, Víctor A. Avendaño Arango

Universidad Pontificia Bolivariana, Medellín, Colombia

 

ABSTRACT

We report the case of a patient with an irreducible knee dislocation, multiligamentous injuries, and patellar dislocation following a fall into a ravine. The clinical examination revealed a positive dimple sign. Multiple attempts at closed reduction were unsuccessful, requiring an open reduction to expose and release the interposed structures, including the medial capsule, the patellofemoral ligament, and the vastus medialis oblique. A knee immobilizer was applied, and definitive surgery was deferred until soft-tissue conditions improved, at which time a staged multiligament reconstruction was performed, addressing the anterior and posterior cruciate ligaments and the posteromedial corner, with a favorable outcome. Conclusion: Closed reduction should be attempted initially; however, if the medial structures remain entrapped, urgent open reduction is required. Ligament reconstruction is indicated when multiple ligaments are compromised, and the approach to anterior cruciate ligament reconstruction should be individualized based on the patient’s age, physiological status, and physical activity level. A thorough neurological and vascular evaluation is essential due to the risk of serious complications. This case is reported to highlight this uncommon presentation and the importance of open reduction to achieve proper alignment.

Keywords: Knee dislocation; dimple sign; vastus medialis.

Level of Evidence: IV

 

Luxación irreductible de rodilla asociada a interposición de estructuras mediales: reporte de un caso

 

RESUMEN

Se presenta a un paciente con luxación irreductible de rodilla, lesiones de múltiples ligamentos y luxación de rótula tras caer por un abismo. Tiene el signo del hoyuelo. Se intentaron varios métodos de reducción cerrada sin éxito, lo que requirió una reducción abierta para exponer y liberar las estructuras interpuestas, inclusive la cápsula medial, el ligamento rotulofemoral y el vasto medial oblicuo. Se colocó un inmovilizador de rodilla y se esperó hasta que los tejidos blandos mejoraran para realizar una reconstrucción de múltiples ligamentos en un segundo tiempo, abordando los ligamentos cruzados anterior y posterior, y la esquina posteromedial; el resultado fue favorable. Conclusiones: Se recomienda, en primera instancia, la reducción cerrada, pero si las estructuras mediales de la rodilla no se liberan, es necesaria la reducción abierta de emergencia. La reconstrucción ligamentaria se indica cuando hay compromiso de múltiples ligamentos, y la elección del abordaje del ligamento cruzado debe individualizarse considerando la edad, el estado fisiológico y las actividades físicas del paciente. Además, es crucial realizar una evaluación neurológica y vascular exhaustiva ante el riesgo de complicaciones graves. Se comunica este caso para destacar este cuadro inusual y la importancia de una reducción abierta para lograr una reducción adecuada.

Palabras clave: Luxación de rodilla; signo del hoyuelo; vasto medial.

Nivel de Evidencia: IV

 

INTRODUCTION

Knee dislocations are injuries that may occur as a result of either high- or low-energy trauma. They are characterized by a high rate of neurovascular involvement and by the loss of contact between the articular surfaces of the knee, which leads to multidirectional instability and is associated with multiple ligament injuries.1

Several classifications for knee dislocations have been described. The first is based on the direction of tibial displacement relative to the femur. Known as the Kennedy classification, published in 1963, it describes five trauma mechanisms: anterior (40%), posterior (33%), lateral (18%), medial (4%), and rotational (4%), the latter being associated with irreducible dislocations.2,3 The Schenck classification, on the other hand, categorizes these injuries from KD-I to KD-V, according to the number of ligaments involved and the presence of a periarticular fracture.4 This system was modified by Yu et al. in 1995, who added the designations “C” and “N” to indicate associated arterial or nerve injuries, respectively.5

The incidence of popliteal artery injury ranges from 10% to 40%, being more frequent in anterior and posterior dislocations.6 In anterior dislocations, the popliteal artery is prone to intimal injury due to a traction mechanism, whereas in posterior dislocations, the artery may be completely transected from the tibia, as it is anchored proximally at the adductor hiatus and distally at the arch of the soleus muscle.6,7 Moreover, peroneal nerve injuries are common, with reported incidence rates ranging from 20% to 45%.8

 

CLINICAL CASE

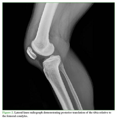
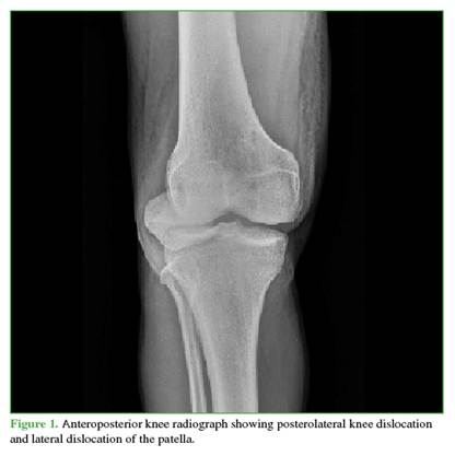
A 27-year-old male farmer residing in a rural area, with no relevant medical history, suffered a traffic accident after falling into a ravine while riding a motorcycle, resulting in trauma to his right shoulder and knee. He initially sought care at a rural hospital, where marked edema, ecchymosis, and a positive dimple sign were identified in the right knee. He also had limited range of motion in both the shoulder and the knee. As X-rays were not available, he was referred to a hospital with orthopedic services. There, initial radiographs were obtained (Figures 1 and 2), documenting a diaphyseal humeral fracture that was immobilized with a sugartong splint. In addition, a posterolateral knee dislocation and a lateral patellar dislocation were diagnosed. Two orthopedic surgeons attempted three reductions under sedation (no anesthesia was available), successfully reducing the patella but not the knee. It was decided that the patient required transfer to a trauma center for urgent open reduction and to rule out an associated vascular injury. The knee was immobilized with a bivalved hip-to-foot splint and he was referred.

 

 

 

 

 

 

 

At the initial evaluation at the trauma center, 8 hours had elapsed since the accident. The immobilization was removed to assess the soft tissues, and a medial dimple sign was observed (Figure 3).

Radiographs showed widening of the medial joint space consistent with medial instability. Further imaging was obtained with magnetic resonance imaging (Figures 4 and 5) to evaluate possible interposed tissues or structures, and with CT angiography (Figure 6) to rule out vascular injury given the time elapsed since trauma. Marked edema was noted in the medial soft tissues, including the capsule and medial structures in the intercondylar region, along with persistent knee subluxation. Vascular compromise was ruled out, with preservation of the femoropopliteal vascular bundle.

The decision was made to take the patient to the operating room and attempt closed reduction, which was unsuccessful. Therefore, an open reduction was performed.

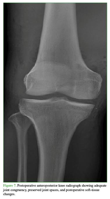
A longitudinal medial approach was carried out, and the extensor mechanism was released to evaluate the articular surface of the patella and increase exposure. The medial femoral condyle was found to be completely denuded. Careful flap dissections were performed to improve visualization despite the everted patella. Through valgus maneuvers, the relevant structures were identified and localized. Attempts were made to remove the interposed meniscus, medial retinaculum, and capsule using levering techniques with different instruments, but this was unsuccessful due to tension within these structures despite reduction maneuvers. Therefore, the capsule and the patellofemoral ligament were sectioned to release the femorotibial and intercondylar space, achieving clinical reduction and congruency of the knee. Copious irrigation with saline solution was performed, followed by capsular repair and suturing of the medial patellofemoral ligament and medial retinaculum. Stability was reassessed, and the knee did not redislocate with deep flexion or extension. No chondral lesions were observed in the patella or trochlea. The medial meniscus was found to be impinged but without body or root tears; therefore, no further management was required. An articulated knee brace was applied, postoperative radiographs were obtained (Figure 7), and delayed ligament reconstruction was scheduled for 3 weeks later. During that procedure, the anterior cruciate ligament was reconstructed with an allograft; the posterior cruciate ligament was reconstructed using a single-bundle allograft technique; and the posteromedial corner was reconstructed using the LaPrade technique. At 4-week follow-up, knee range of motion was 10° to 90° of flexion. The patient continues with physical therapy.

 

 

 

 

 

 

 

 

 

 

 

 

 

 

DISCUSSION

The incidence of knee dislocations is very low, representing less than 0.02% of all orthopedic emergencies and less than 0.5% of all joint dislocations. However, these figures may be underestimated due to underreporting, as at least 60% of knee dislocations reduce spontaneously when they occur.9,10 Although it is a rare clinical entity, the fact that it is irreducible (that is, the interposition of capsuloligamentous structures between the femoral condyles associated with a knee dislocation) makes it an even more uncommon condition, one that is associated with high rates of sequelae and long-term complications when not diagnosed and treated in a timely and appropriate manner.11

Most irreducible knee dislocations are posterolateral. Tibial displacement occurs due to a generally high-energy valgus force with the knee flexed, associated with simultaneous rotational forces on the tibia and femur in opposite directions, which push the medial femoral condyle through the anteromedial capsule and retinaculum. Subsequent interposition of the medial retinaculum, the medial collateral ligament, the vastus medialis, or the medial meniscus can give rise to the “pucker sign” or “dimple sign,” a characteristic finding on physical examination and present in up to 83% of irreducible knee dislocations.12,13

An important aspect of this type of knee dislocation is the involvement of the medial capsuloligamentous complex and its interposition between the femoral condyles during severe valgus stress, which confers its characteristic irreducibility. Early clinical diagnosis and open reduction, with or without arthroscopic debridement, are essential to reduce the risk of soft-tissue compromise in this condition. Prompt restoration of joint congruity, verification of adequate distal perfusion, and exclusion of vascular injury, one of the potential complications, are urgent priorities.14

Fortunately, in this case, no skin complications occurred. However, it is important to note that the dimple sign is a key clinical indicator suggesting irreducibility of the dislocation and the need for timely open reduction, as attempts at closed reduction may cause further skin injury, and delays in diagnosis and treatment may lead to skin necrosis.

The literature on this condition is limited, and the authors of published cases to date have proposed different surgical approaches, without reaching a general consensus, particularly with regard to repair of the anterior and posterior cruciate ligaments.15

After reduction, the appropriate timing for ligament reconstruction remains controversial. Indications for external fixation in cases of acute knee dislocation include inability to maintain the reduction, a history of vascular injury, and open dislocation. There are very few data comparing external fixation with a hinged knee immobilizer prior to multiligament reconstruction.9,16,17 In a study conducted at the Mayo Clinic, eight knees placed in external fixation after reduction were compared with twenty-three knees managed with a brace after reduction, and no statistically significant differences were found in Lysholm scores or mean International Knee Documentation Committee (IKDC) scores after 27 months of follow-up.18 Interestingly, patients managed with an immobilizer had better ranges of motion at long-term follow-up than those treated with external fixation; however, this may be attributable to more complex injuries requiring external fixation.

Although a few cases treated with arthroscopic debridement or arthroscopic reduction have been reported, open reduction is the treatment of choice.19 In the case presented, the medial retinaculum, medial capsular structures, and the medial patellofemoral ligament were found to be interposed and were clearly visualized, as was a substantial portion of the distal vastus medialis obliquus muscle. Several structures can become trapped within the joint space and prevent knee reduction; among them, the medial retinaculum and adjacent structures are the most frequently involved. Other causes of irreducible knee dislocation include intra-articular patellar dislocation or lateral knee dislocation with entrapment of the posterolateral capsule in the lateral compartment.

In cases of dislocation involving multiple ligaments, these ligaments should be repaired or reconstructed early. The literature recommends performing a second procedure within the first 3 to 4 weeks, followed by 2 weeks of immobilization, preferably using a hinged immobilizer to control the range of joint motion.20,21

Complications are common, and the knee rarely returns to its pre-injury state. Patients often develop stiffness, loss of range of motion, and an increased risk of early osteoarthritis.16,21,22 According to a systematic review published in 2022 by Malik et al., based on 114 cases of irreducible knee dislocation, the complication rate was 14.4%, with skin necrosis and joint stiffness being the most frequent (6.7% and 4.8%, respectively). Other less common complications included compartment syndrome and surgical site infection (one case each).1,22

No data were found regarding the incidence of multiple ligament injuries associated with irreducible knee dislocation, likely due to its unusual presentation.

 

CONCLUSIONS

The medial dimple sign is pathognomonic of irreducible knee dislocation and must be recognized promptly. Closed reduction should be attempted only once to avoid further skin damage; if the medial structures of the knee remain entrapped, emergency open reduction is indicated, given the high association with vascular injuries. Ligament reconstruction is recommended when multiple ligaments are involved, and the choice of cruciate ligament reconstruction should be individualized according to the patient’s age, physiological status, and physical activity demands. In addition, a thorough neurological and vascular assessment of the affected limb is essential due to the risk of severe associated complications.

 

REFERENCES

 

1.     Malik SS, Osan JK, Aujla R, Aslam N, D’Alessandro P, MacDonald PB. A systematic review on management and outcome of irreducible knee dislocations. Orthop Traumatol Surg Res 2022;108(8):103415. https://doi.org/10.1016/j.otsr.2022.103415

2.     Robertson A, Nutton RW, Keating JF. Dislocation of the knee. J Bone Joint Surg Br 2006;88(6):706-11. https://doi.org/10.1302/0301-620X.88B6.17448

3.     Brautigan B, Johnson DL. The epidemiology of knee dislocations. Clin Sports Med 2000;19(3):387-97. https://doi.org/10.1016/s0278-5919(05)70213-1

4.     Green NE, Allen BL. Vascular injuries associated with dislocation of the knee. J Bone Joint Surg Am 1977;59(2): 236-9. PMID: 845209

5.     Yu JS, Goodwin D, Salonen D, Pathria MN, Resnick D, Dardani M, et al. Complete dislocation of the knee: spectrum of associated soft-tissue injuries depicted by MR imaging. AJR Am J Roentgenol 1995;164(1):135-9. https://doi.org/10.2214/ajr.164.1.7998526

6.     Halvorson JJ, Anz A, Langfitt M, Deonanan JK, Scott A, Teasdall RD, et al. Vascular injury associated with extremity trauma: initial diagnosis and management. J Am Acad Orthop Surg 2011;19(8):495-504. https://doi.org/10.5435/00124635-201108000-00005

7.     Xu B, Xu H, Tu J, Guo R. Initial assessment and implications for surgery: The missed diagnosis of irreducible knee dislocation. J Knee Surg 2018;31(3):254-63. https://doi.org/10.1055/s-0037-1602135

8.     Bistolfi A, Massazza G, Rosso F, Ventura S, Cenna E, Drocco L, et al. Non-reducible knee dislocation with interposition of the vastus medialis muscle. J Orthop Traumatol 2011;12(2):115-8. https://doi.org/10.1007/s10195-011-0134-2

9.     Gigante F, Lapera M, Zabala MP, Pesolani M, Serpone A. Conducta inicial en la luxación aguda de rodilla. Nuestra experiencia de 20 años. Artroscopía 2016;23(2);61-9. Available at: https://revistarelart.com/ediciones-anteriores/103-volumen-05-numero-1/volumen-23-numero-2/740-conducta-inicial-en-la-luxacion-aguda-de-rodilla-nuestra-experiencia-de-20-anos

10.  Chirpaz-Cerbat JM, Rossi J, Mélère G, Martinez T. Luxation irréductible du genou par incarcération du plan capsulo-ligamentaire médial. Rev Chir Orthop Réparatrice Appar Mot 2004;90(5):449-55. https://doi.org/10.1016/s0035-1040(04)70172-5

11.  Gómez-Bermúdez S, Vanegas-Isaza D, Herrera-Almanza L, Roldán-Tabares M, Coronado-Magalhaes G, Fernández-Lopera J, et al. La lesión vascular asociada a la luxación de rodilla. Acta Ortop Mex 2021;35(2):226-35. Available at: https://www.medigraphic.com/pdfs/ortope/or-2021/or212t.pdf

12.  Angan N, Feghiu B, Gheorghiu N, Feghiu V, Bahadoor MU. Irreducible knee dislocation with vastus medialis muscle interposition: A case report. Cureus 2023; 15(1):e33409. https://doi.org/10.7759/cureus.33409

13.  Jeevannavar SS, Shettar CM. “Pucker sign” an indicator of irreducible knee dislocation. BMJ Case Rep 2013;2013:bcr2013201279. https://doi.org/10.1136/bcr-2013-201279

14.  Novoa Sierra B, Estrems Díaz V, Ribas García-Peñuela J, Brú Pomer A. Luxaciones de rodilla: revisión de 11 casos. Revista Española de Cirugía Osteoarticular 2015;50(262):123-7. Available at: http://hdl.handle.net/10550/47816

15.  Levy BA, Fanelli GC, Whelan DB, Stannard JP, MacDonald PA, Boyd JL, et al. Controversies in the treatment of knee dislocations and multiligament reconstruction. J Am Acad Orthop Surg 2009;17(4):197-206. https://doi.org/10.5435/00124635-200904000-00001

16.  Reckling FW, Peltier LF. Acute knee dislocations and their complications. Clin Orthop Relat Res 2004;(422):135-41. https://doi.org/10.1097/01.blo.0000131737.72363.7e

17.  Schmicker T, Kocher T, Patel T, Lycans D. Closed reduction of an irreducible knee dislocation: A case report. J Orthop Case Rep 2020;10(7):6-10. https://doi.org/10.13107/jocr.2020.v10.i07.1894

18.  Malik SS, MacDonald PB. The irreducible knee dislocation. J Knee Surg 2020;33(4):328-34. https://doi.org/10.1055/s-0039-1698749

19.  Peskun CJ, Whelan DB. Outcomes of operative and nonoperative treatment of multiligament knee injuries: an evidence-based review. Sports Med Arthrosc Rev 2011;19(2):167-73. https://doi.org/10.1097/JSA.0b013e3182107d5f

20.  Clark SJ, Engebretsen L. Surgical treatment of acute knee dislocations. Tech Knee Surg 2011;10(1):28-36. Available at: https://static1.squarespace.com/static/5ed520fd462f3329f89fd0fc/t/5ef21490dbdf867012b56769/1592923281696/ClarkandEngebretsen.pdf

21.  Pache S, Vázquez JM, Chahla J, Moatshe G, LaPrade RF. Irreducible posterolateral knee dislocation: A case report. JBJS Case Connect 2023;13(1). https://doi.org/10.2106/JBJS.CC.22.00792

22.  Plancher KD, Siliski J. Long-term functional results and complications in patients with knee dislocations. J Knee Surg 2008;21(04):261-8. https://doi.org/10.1055/s-0030-1247829

 

 

M. Á. Cano González ORCID ID: https://orcid.org/0009-0002-9832-2085

V. A. Avendaño Arango ORCID ID: https://orcid.org/0000-0002-2976-3269

 

Received on June 21st, 2023. Accepted after evaluation on May 14th, 2024 Dr. Ricardo Londoño García riloga42@gmail.com https://orcid.org/0000-0002-6568-9166

 

How to cite this article: Londoño García R, Cano González MÁ, Avendaño Arango VA. Irreducible Knee Dislocation Associated with Interposition of Medial Structures: A Case Report. Rev Asoc Argent Ortop Traumatol 2025;90(6):561-569. https://doi.org/10.15417/issn.1852-7434.2025.90.6.1780

 

 

Article Info

Identification: https://doi.org/10.15417/issn.1852-7434.2025.90.6.1780

Published: December, 2025

Conflict of interests: The authors declare no conflicts of interest.

Copyright: © 2025, Revista de la Asociación Argentina de Ortopedia y Traumatología.

License: This article is under Attribution-NonCommertial-ShareAlike 4.0 International Creative Commons License (CC-BY-NC-SA 4.0).