PRESENTACIÓN DE CASOS

 

Quiste óseo aneurismático con compromiso neurológico en la columna: reporte de dos casos y revisión bibliográfica

 

Federico D. Sartor,* Sebastián Solsona,** Verónica Herrero,** Daniela Medina,* Rodrigo Birbuet,* Emmanuel Ayerra,* Cristian Illanes**

*Unidad de Patología de Columna Vertebral, Traumatología del Comahue, Neuquén, Argentina

**Unidad de Patología Espinal, Servicio de Ortopedia y Traumatología, Hospital Provincial “Dr. Eduardo Castro Rendón”, Neuquén, Argentina

 

RESUMEN

El quiste óseo aneurismático es una lesión benigna y vascularizada de comportamiento expansivo. Su presentación con compromiso neurológico es infrecuente y representa un desafío terapéutico. Este artículo tiene como objetivo describir dos casos clínicos de quiste óseo aneurismático en la columna torácica con compromiso neurológico agudo, tratados mediante abordajes quirúrgicos en dos tiempos y con un seguimiento de 24 meses. Ambos pacientes tuvieron una recuperación neurológica completa. La descompresión precoz y la estabilización, junto con la embolización selectiva, se destacan como pilares del tratamiento.

Palabras clave: Quiste óseo aneurismático; columna torácica; compromiso neurológico; embolización; cirugía espinal; tumor.

Nivel de Evidencia: IV

 

Aneurysmal Bone Cyst with Neurological Involvement in the Spine: Report of Two Cases and Literature Review

 

ABSTRACT

An aneurysmal bone cyst (ABC) is a benign, vascularized bone lesion with an expansile growth pattern. Its presentation with neurological involvement is rare and presents a therapeutic challenge. This article describes two clinical cases of ABC located in the thoracic spine, both with acute neurological compromise. The patients were treated with staged surgical approaches and followed for 24 months. Both achieved complete neurological recovery. Early decompression and spinal stabilization, combined with selective embolization, are highlighted as key components of effective management.

Keywords: Aneurysmal bone cyst; thoracic spine; neurological compromise; embolization; spinal surgery; tumor.

Level of Evidence: IV

 

INTRODUCCIÓN

   El quiste óseo aneurismático (QOA) es una enfermedad tumoral, rara, benigna, hemorrágica e hiperémica que, rara vez, produce compromiso neurológico.1

   La primera descripción publicada encontrada por los autores corresponde a Liechtenstein, en 1950, quien describe dos casos clínicos y hace referencia a este cuadro como: una patología pseudotumoral benigna y comúnmente confundida con el tumor de células gigantes y ocasionalmente con hemangiomas y sarcomas osteogénicos”.2

   En la actualidad, está claro el origen tumoral de esta enfermedad y la traslocación genética que la provoca.3

   El QOA representa aproximadamente el 1% de todos los tumores óseos primarios y predomina en las mujeres (2:1).4 La mayoría de los QOA aparecen antes de los 20 años y pueden comprometer cualquier segmento óseo. La metáfisis de los huesos largos es la región más afectada. El 10-30% de estos tumores se presenta en la columna móvil y representa el 15% de todos los tumores primarios de columna.5 Muchos son asintomáticos y, por lo tanto, subdiagnosticados; también se han observado regresiones espontáneas.

   Enneking los clasifica de 1 a 3 según su agresividad: grado 1, latente; grado 2, activo; grado 3, agresivo.6

   La presentación clínica más frecuente incluye dolor y edema local. Rara vez puede debutar con una fractura patológica. Los pacientes suelen tener un antecedente de dolor que no responde al tratamiento médico. Son lesiones altamente vascularizadas, con un crecimiento expansivo y, dada su característica lítica, son propensas a producir inestabilidad mecánica.7

   En la columna vertebral, su distribución es la siguiente: columna lumbar 40%, columna cervical 30%, columna torácica 20% y columna sacra 10%.8 La localización topográfica habitual en la vértebra es en el arco posterior.3

   Las radiografías, la tomografía computarizada y la resonancia magnética son los estudios complementarios que ayudan a llegar al diagnóstico. En las radiografías, se observa una cavidad expansiva osteolítica. En la tomografía y la resonancia, se visualizan los característicos niveles líquido/líquido.8

   El tratamiento del QOA difiere según la localización y la agresividad. Se dispone de tratamientos quirúrgicos, como curetajes o resecciones parciales; tratamientos intralesionales con inyecciones de hueso autólogo, y también es posible tratarlos con fármacos o radiación. La resección completa con márgenes de seguridad es el tratamiento que logra las tasas más bajas de recidiva local, por lo que se lo considera de elección, siempre que sea posible.

   No hemos encontrado en la bibliografía un protocolo de manejo claro para este tipo de lesiones cuando se manifiestan con compromiso neurológico progresivo e invalidante.9

   El objetivo de este artículo es describir y analizar dos casos de QOA en la columna torácica con compromiso neurológico.

   Se realizó un estudio descriptivo y retrospectivo de una serie de pacientes (2015-2022) operados por el mismo equipo quirúrgico, perteneciente a un hospital general cabecera de región sanitaria. Los pacientes que participaron en el estudio brindaron su consentimiento por escrito.

   Ambos fueron controlados durante, al menos, 24 meses después del tratamiento quirúrgico. Dicho seguimiento consistió en una entrevista a cargo del equipo tratante a los 15 días del alta hospitalaria, al primer mes, a los 2 meses y, luego, cada 6 meses, hasta cumplir los 24 meses. Se solicitaron estudios complementarios por imágenes durante el posoperatorio inmediato y cada 6 meses (radiografías y resonancia magnética).

   Ninguno de los pacientes había sido tratado del cuadro tumoral, por lo que ambos casos fueron considerados como primarios (Tabla).

 

 

 

 

 

 

CASO CLÍNICO 1

   Niña de 9 años que consultó por dolor crónico (>2 años) en la región cervical baja e interescapular. Negó antecedentes patológicos o familiares de importancia. Cuando se la interrogó, refirió dolor en la espalda alta que no respondía a los tratamientos farmacológicos ni kinesiológicos.

   El examen físico reveló una alteración en la marcha con aumento de la base de sustentación, hiperreflexia rotuliana bilateral y paresia en la región correspondiente a la raíz de C7 derecha, manifestada como debilidad en los músculos tríceps derecho (grado 4/5), flexores y extensores de la muñeca derecha (grado 4/5), según la escala de fuerza muscular del Medical Research Council (Figura 1).10

   En la radiografía inicial de frente, se observó una alteración en el eje coronal fisiológico (Figura 2).

 

 

 

 

 

 

 

 

 

 

 

 

 

 

 

 

 

 

 

 

 

 

 

 

 

 

 

 

 

 

 

 

 

 


   Los estudios complementarios mostraron un compromiso vertebral extenso: en C7 (arco posterior), zonas 4-7 y niveles III y IV de la clasificación de Weinstein-Boriani-Biagini; en T1 (cuerpo vertebral), zonas 10-3 y niveles III y IV; en T2 (pedículo derecho más arco posterior), zonas 3-7, niveles III y IV.11 Las lesiones eran de tipo quística expansiva (Figuras 3 y 4). Ante el patrón expansivo de la lesión, se descartó la sospecha de un hemangioma vertebral. Se interpretó el caso como una lesión con diagnóstico presuntivo de QOA grado 3 de Enneking.

   El plan terapéutico consistió en disminuir el riesgo de sangrado, descomprimir la lesión y estabilizar.

   Se realizó una angiografía que reveló múltiples arterias nutricias provenientes del tronco paraespinal. En el mis-mo acto, se procedió a la embolización de varias de ellas sin que se encontrara un tronco primario.

   A las 48 h de la embolización, se llevó a cabo el primer tiempo quirúrgico que consistió en una instrumentación pedicular de C5-T5 con descompresión posterior de C7, T1 y T2 (Figura 5) y, también, en la resección de la masa tumoral. Durante el procedimiento, el sangrado fue de <500 ml.

   Cinco días después de la cirugía, se efectuó el segundo tiempo quirúrgico que consistió en una cirugía por vía anterior para realizar una corpectomía de T1. Se utilizó aporte de injerto autólogo como soporte.

  El déficit neurológico de la paciente se revirtió, de manera progresiva, a partir de las 48 horas. En la actualidad, tiene una marcha normal sin secuelas. Continúa con el control posquirúrgico alejado, sin complicaciones. El análisis de anatomía patológica confirmó el diagnóstico presuntivo y confirmó bordes lesionales libres.

 

 

 

 

 

 

 

 

 

 

CASO CLÍNICO 2

   Niña de 8 años que consultó por debilidad en los miembros inferiores (grado 3/5 de la escala de fuerza muscular del Medical Research Council). Refirió la aparición súbita de los síntomas de consulta (<72 h), negó antecedentes personales o familiares de importancia.

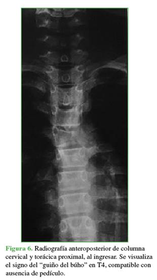
   En la radiografía anteroposterior de ingreso, se identificó la ausencia de una imagen pedicular en la vértebra afectada, signo conocido como “guiño del búho” (Figura 6).12

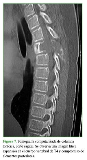
   La zona afectada era 3-6, niveles III y IV de la clasificación de Weinstein-Boriani-Biagini.11 En los estudios complementarios, se observaron múltiples quistes tabicados con niveles líquido-líquido, por lo que se descartó un quiste óseo simple, de características expansivas y compresivas, ante este patrón se descartó la posibilidad de un hemangioma vertebral (Figuras 7 y 8). Este caso también se interpretó como una lesión secundaria a un QOA grado 3 de Enneking.13

   El plan terapéutico consistió en descomprimir de manera urgente y estabilizar la columna vertebral, en un primer tiempo quirúrgico, y disminuir el riesgo de sangrado mediante una embolización selectiva, con un segundo tiempo de estabilización y artrodesis.

   Se realizó el primer tiempo quirúrgico dentro de las 24 horas. Este consistió en una descompresión del canal medular mediante una resección del arco posterior de T4, y una corpectomía por costo-transversectomía mediante una técnica de vaciado corporal con preservación del borde cortical (eggshell).14 Se estabilizó la columna con una fijación pedicular de T2-T6.

   En las 48 h siguientes, se realizó una angiografía y una embolización del pedículo vascular tumoral.

   En el segundo tiempo quirúrgico, se procedió a colocar un espaciador de titanio con injerto óseo autólogo (Figura 9).

   El cuadro de déficit neurológico se revirtió dentro del primer mes posterior a la cirugía, y no hubo recidivas hasta la fecha. El análisis de anatomía patológica confirmó la sospecha diagnóstica de QOA y los bordes libres de enfermedad tumoral.

 

 

 

 

 

 

 

 

 

 

 

 

 

 

 

 

 

 

 

 

 

 

 

 

 

 

 

 

 

 

 

 

 

 

 

 

 

 

 

 

 

 

 

 

 

 

 

 

 

 

 

 

 

 

 

 

 

 

 

 

 

 

 

 

 

 

 

 

 

 

 

 

 

 

 


DISCUSIÓN

   El objetivo del tratamiento de ambas pacientes fue mejorar el estado neurológico y confirmar el diagnóstico prequirúrgico.

   El compromiso neurológico condicionó a efectuar una descompresión medular de forma precoz. Como objetivos secundarios de la intervención quirúrgica se intentó: reducir, al menor número posible, la cantidad de segmentos comprometidos y evitar deformidades o fracturas patológicas en el futuro.

   Ante la sospecha de un QOA, primero, se debe tomar una biopsia por punción para confirmar el diagnóstico, luego, se define un tratamiento que puede variar desde la observación, porque hay reportes de curación espontánea luego de la biopsia; fármacos (denosumab o bifosfonatos), radioterapia, punciones percutáneas con agentes esclerosantes (fenol, nitrógeno líquido, doxiciclina, argón, injerto óseo o sustitutos óseos), embolización vascular selectiva, cirugía para curetaje y relleno, hasta una cirugía para resección con criterio oncológico.3,9

   Consideramos que, ante un cuadro de compromiso neurológico, era imperativo realizar una descompresión y la posterior estabilización, en uno o dos tiempos.

   En nuestras pacientes, no fue posible contar con una biopsia previa dada la urgencia; en el caso 2, la embolización selectiva fue diferida, porque el déficit neurológico fue progresivo, luego, se completó el tratamiento con una corpectomía para reconstruir la columna anterior. Se considera que la embolización selectiva y la resección tumoral completa son estrategias recomendadas, siempre que sea posible. El caso 1 representó un desafío, ya que la lesión abarcaba tres vértebras.

   Planteamos que la cirugía es la indicación cuando hay déficit neurológico o riesgo de fractura patológica. El resto de los tratamientos se reserva para las lesiones que no comprometen la estabilidad y, cuando no hay déficit neurológico, se prefieren los rellenos percutáneos con calcitonina.

   Una limitación del estudio es el bajo número de pacientes. El equipo tratante planea presentar una serie más amplia de pacientes con QOA y compromiso neurológico a la brevedad.

 

CONCLUSIONES

   Los QOA que cursan con compromiso neurológico requieren una cirugía urgente. La descompresión medular precoz es fundamental para la recuperación neurológica. La embolización selectiva preoperatoria contribuye a reducir el sangrado intraoperatorio y la tasa de recidiva. La resección completa en dos tiempos es una estrategia factible y efectiva. Se requieren estudios con más casos para establecer guías terapéuticas consensuadas y basadas en evidencia.

 

BIBLIOGRAFÍA

 

1.     Kiu A, Fung T, Chowdhary P, Jung S, Powell T, Boily M. Aneurysmal bone cyst in thoracolumbar spine. BJR Case Rep 2020;6(3):20190133. https://doi.org/10.1259/bjrcr.20190133

2.     Lichtenstein L. Aneurysmal bone cyst. A pathological entity commonly mistaken for giant-cell tumor and occasionally for hemangioma and osteogenic sarcoma. Cancer 1950;3(2):279-89. https://doi.org/10.1002/1097-0142(1950)3:2%3C279::AID-CNCR2820030209%3E3.0.CO;2-F

3.     Lanari Zubiaur F, Godoy Adaro AO, Bazán PL. Uso de denosumab para el quiste óseo aneurismático de columna. Reporte de un caso y revisión bibliográfica. Rev Asoc Argent Ortop Traumatol 2021;86(6):821-8. https://doi.org/10.15417/issn.1852-7434.2021.86.6.1121

4.     Lam Y. Bone tumors: Benign bone tumors. FP Essent 2020;493:11-21. PMID: 32573182

5.     Baima Filho FAS. Uso de denosumab en quiste óseo aneurismático: Revisión de la literatura. Revista Chilena de Ortopedia y Traumatología 2022;63(01):e51-4. https://doi.org/10.1055/s-0041-1739542

6.     Enneking WF. A system of staging musculoskeletal neoplasms. Clin Orthop Relat Res 1986;(204):9-24. PMID: 3456859

7.     Cottalorda J, Louahem D, Jeandel C, Delpont M. Quiste óseo aneurismático. EMC - Aparato Locomotor 2022;55(1):1-13. https://doi.org/10.1016/S1286-935X(22)46098-9

8.     Zileli M, Isik HS, Ogut FE, Is M, Cagli S, Calli C. Aneurysmal bone cysts of the spine. Eur Spine J 2012;22(3):593-601. https://doi.org/10.1007/s00586-012-2510-x

9.     Baigorria JF, Besse M, Rosado A, Steverlynck A, Sarotto AJ. Quiste óseo aneurismático vertebral agresivo: presentación de un caso y revisión bibliográfica. Rev Asoc Argent Ortop Traumatol 2022;87(6):804-13. https://doi.org/10.15417/issn.1852-7434.2022.87.6.1470

10.  Riddoch G. Aids to the examination of the peripheral nervous system. London: Her Majesty’s Stationary Office; 1943.

11.  Boriani S. Primary bone tumors of the spine. Spine (Phila PA 1976) 1997;22(9):1036-44. https://doi.org/10.1097/00007632-199705010-00020

12.  Ridley LJ, Han J, Ridley WE, Xiang H. Winking owl sign: Unilateral absent pedicle. J Med Imaging Radiat Oncol 2018;62(S1):168-8. https://doi.org/10.1111/1754-9485.37_12786

13.  Harrop JS, Schmidt MH, Boriani S, Shaffrey CI. Aggressive “benign” primary spine neoplasms. Spine (Phila PA 1976) 2009;34(Suppl):S39-47. https://doi.org/10.1097/BRS.0b013e3181ba0024

14.  Murrey D, Brigham CD, Kiebzak GM, Finger FG, Chewning SJ. Transpedicular decompression and pedicle subtraction osteotomy (Eggshell procedure). Spine (Phila PA 1976) 2002;27(21):2338-45. https://doi.org/10.1097/00007632-200211010-00006


 

 

ORCID de S. Solsona: https://orcid.org/0000-0002-5974-9417            

ORCID de R. Birbuet: https://orcid.org/0000-0003-1852-9829

ORCID de V. Herrero: https://orcid.org/0000-0002-1317-8321           

ORCID de E. Ayerra: https://orcid.org/0009-0006-2012-1100

ORCID de D. Medina: https://orcid.org/0000-0002-2991-2949

ORCID de C. Illanes: https://orcid.org/0000-0001-9638-0666

 

Recibido el 5-3-2024. Aceptado luego de la evaluación el 9-5-2024 Dr. Federico D. Sartor fedesartor@gmail.com https://orcid.org/0000-0001-6061-2445

 

Cómo citar este artículo: Sartor FD, Solsona S, Herrero V, Medina D, Birbuet R, Ayerra E, Illanes C. Quiste óseo aneurismático con compromiso neurológico en la columna: reporte de dos casos y revisión bibliográfica. Rev Asoc Argent Ortop Traumatol 2025;90(3):290-297. https://doi.org/10.15417/issn.1852-7434.2025.90.3.1932

 

 

Información del artículo

Identificación: https://doi.org/10.15417/issn.1852-7434.2025.90.3.1932

Fecha de publicación: Junio, 2025

Conflicto de intereses: Los autores no declaran conflictos de intereses.

Copyright: © 2025, Revista de la Asociación Argentina de Ortopedia y Traumatología.

Licencia: Este artículo está bajo una Licencia Creative Commons Atribución-No Comercial-Compartir Obras Derivadas Igual 4.0 Internacional. (CC-BY-NC-SA 4.0)