TECHNICAL NOTE

 

“Recycling Technique” for Single-Stage Metacarpal Hand Reconstruction

 

Pablo E. Valle, Lucas F. Loza, Nicolás Cardinal, Alejandro Fazio, Fernando J. Cervigni

Orthopedics and Traumatology Service, Hospital Privado Universitario de Córdoba, Córdoba, Argentina

 

ABSTRACT

Introduction: We present an innovative surgical technique for reconstructing a metacarpal hand following transmetacarpal amputation. The procedure consists of lengthening the fourth ray using the second metatarsal as a non-vascularized bone graft to create a functional opposition post, complementing a second-toe transfer to the hand. This approach allows reconstruction of a metacarpal hand in a single surgical stage and with a single toe transfer, thereby avoiding complications associated with additional bone-graft donor sites. We also describe the functional and aesthetic outcomes obtained in our sole case to date. No published reports of a similar technique were identified. Conclusions: Harvesting the metatarsal from the donor toe facilitates improved closure of the intermetatarsal space with a lower risk of donor-site complications, while also providing a non-vascularized bone graft that serves as an opposition mass for the transferred toe. This simplifies the surgical procedure and reduces the risk of complications.

Keywords: Transmetacarpal amputation; hand reconstruction; toe-to-hand transfer.

Level of Evidence: IV

 

“Técnica del reciclado” para la reconstrucción en un tiempo de una mano metacarpiana

 

RESUMEN

Introducción: Se presenta una técnica quirúrgica innovadora para la reconstrucción de una mano con amputación transmetacarpiana, que consiste en el alargamiento del cuarto rayo mediante el uso del segundo metatarsiano a modo de injerto óseo no vascularizado para lograr una pinza oponente funcional, como complemento de la transferencia del segundo dedo del pie a la mano; esto permite resolver el desafío de reconstruir una mano metacarpiana en un tiempo quirúrgico y con una única transferencia, evitando complicaciones en otros sitios dadores de injerto óseo. Se muestran también los resultados funcionales y estéticos obtenidos en nuestro único caso hasta el momento. No se encontraron reportes bibliográficos de una técnica similar para resolver este problema. Conclusiones: El retiro del metatarsiano del dedo donante en el pie permite un mejor cierre del espacio intermetatarsiano con menos riesgo de complicaciones y sirve como injerto óseo no vascularizado para otorgar un macizo de oposición al dedo del pie transferido. Esto simplifica el acto quirúrgico y disminuye el riesgo de complicaciones.

Palabras clave: Amputación transmetacarpiana; reconstrucción de mano; transferencia de dedo del pie a la mano.

Nivel de Evidencia: IV

 

INTRODUCTION

Trauma accounts for 80% of upper limb amputations, occurring primarily in males between 15 and 45 years of age.1,2

Amputations are classified according to the level of amputation. The most frequent are transphalangeal amputations (80%), followed by transmetacarpal amputations.1,2

Transmetacarpal amputations are classified into two types:3

  Type 1: the amputation line at the level of the long fingers lies proximal to the upper half of the proximal phalanx, and the thumb may be intact or amputated distal to the interphalangeal joint.

  Type 2 the amputation line at the level of the long fingers lies proximal to the upper half of the proximal phalanx, and the thumb is amputated proximal to the interphalangeal joint.

We present the manner in which we managed a type 2 metacarpal hand, as a sequela of an amputation with failed replantation.

The most commonly used procedure to address this type of case involves multiple transfers performed in one or more stages,3 or alternatively, the use of a non-vascularized iliac crest bone graft to lengthen a metacarpal and thus provide an opposition post.

Following these procedures, it is common for patients to experience discomfort at the donor site, whether due to pain and numbness in the iliac crest region or due to aesthetic alteration of the foot and changes in gait mechanics.4,5 For this reason, removal of the second metatarsal was planned to achieve improved closure of the intermetatarsal space and thereby preserve foot biomechanics.

In this case, a toe-to-hand transfer was performed, combined with lengthening of the fourth ray using the second metatarsal as a non-vascularized bone graft to create an opposition post. Hence the name “recycling technique.” We have not found any bibliographic reports of this technique.

 

CLINICAL CASE

A 32-year-old right-handed, obese male, employed in a cement factory and performing strenuous manual labor, sustained a traumatic amputation of the left hand at the transmetacarpal level (type 2) caused by a cement dosing machine (Figure 1).

 

 

 

 

 

The mechanism of injury was avulsion. The flexor and extensor tendons were avulsed from their muscle bellies.

All palmar interosseous nerves were torn by traction.

Replantation was attempted 5 hours after the injury. Osteodesis of all digits was performed, together with arteriorrhaphy of the first and third interosseous arteries and a bypass using a local vein for the second interosseous artery, in addition to two dorsal venorrhaphies and one dorsal venorrhaphy of the thumb. No neurorrhaphies or tenorraphies were performed due to the degree of tissue damage.

Five days after replantation, cutaneous necrosis of the thumb was detected, prompting re-exploration. The thumb venorrhaphy was found to be thrombosed, and a new venous repair was performed. One week after this procedure, the thumb showed complete necrosis, and amputation was indicated; on re-exploration, the venorrhaphy was again found to be thrombosed.

The clinical course was unfavorable, with progressive necrosis of the long fingers (Figure 2). Twenty-two days after replantation, amputation of the four long digits was decided, and an inguinal flap was performed for coverage.

The inguinal flap evolved favorably and was divided after one month. Between flap division and definitive reconstruction, the patient underwent occupational therapy to prepare for the transfer, consisting of wrist mobility exercises and mirror therapy to enhance activation of the intrinsic muscles of the hand involved in grasp.

 

 

 

 

 

 

Surgical Technique

Six months after the initial trauma, transfer of the second toe to the hand was planned and performed for thumb reconstruction and restoration of opposition, together with lengthening of the fourth ray using a non-vascularized graft from the second metatarsal.

As a first step, the approach for stump exploration and release of the first commissure  was designed.

After stump exploration, the following structures were identified dorsally: an extensor tendon, two dorsal sensory branches of the radial nerve, the radial artery on the dorsum at the level of the first compartment, and two superficial veins (Figure 3). Palmarly, a flexor tendon with limited excursion was identified (Figure 4).

 

 

 

 

 

 

 

Release of the first commissure was performed, followed by opening and opposing of the commissure, and stabilization using a pin in the first ray and another spanning from the first to the second metacarpal.

The procedure then proceeded to the foot, where, according to the preoperative design, a dorsal approach to the second toe was carried out, identifying the pedicle (one artery and one vein), and dissecting two superficial veins and two collateral nerves (Figure 5). The toe was then disarticulated en bloc. Subsequently, the extensor and flexor tendons were transected with sufficient length to allow tenorrhaphy in the hand using the Pulvertaft technique.

 

 

 

 

 

The second-toe implant in the hand was then performed. First, arthrodesis between the base of the implant’s proximal phalanx and the head of the first metacarpal was carried out using pins. The microsurgical stage followed, consisting of arteriorrhaphy of the implant artery to the previously identified radial artery, two dorsal venorrhaphies, two neurorrhaphies to the dorsal sensory branches of the radial nerve, and tenorrhaphies of the flexor and extensor tendons.

The team working on the foot proceeded with resection of the second metatarsal. The second cuneiform was disarticulated. The first intermetatarsal space was then closed using pins and suturing of the plantar plate.

Finally, the inguinal flap was opened through its longitudinal palmar scar, the fourth metacarpal was exposed, and the second-metatarsal graft was positioned in slight flexion and fixed with a 3.5-mm compression screw (Figure 6), achieving good stability. The graft was then covered with the inguinal flap, thus providing the structure needed to achieve future pinch.

The patient progressed favorably during hospitalization without complications and was discharged on postoperative day 6.

 

 

 

 

 

 

Post-surgical Rehabilitation

An intensive Occupational Therapy protocol was prescribed in two stages:

-  First post-surgical stage: controlled mobility and sensory stimulation.

-  Second post-surgical stage: grasp patterns, strengthening, and integration into activities of daily living; initially one-handed skills, followed by bimanual activities.

Four months after surgery, the patient demonstrates active mobility (measured with a digital goniometer) consisting of block flexion of the metacarpophalangeal segment from 0–40° and 40° of abduction (Figure 7, Video).

 

 

 

 

 

This range of motion allows him to pick up and transport objects of various sizes: from a 4-cm diameter cylinder, used as an adapted handle for the bimanual use of cutlery (Figure 8), to a shoelace for tying. Currently, in the late postoperative period, the patient is able to perform carpentry and painting tasks (Video 2).

 

 

 

 

 

He has good dorsal sensibility of the implant up to the proximal interphalangeal region; palmar sensibility has not yet returned.

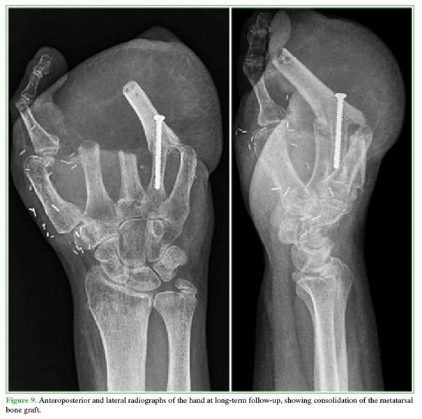
The metatarsal graft shows clinical and radiographic signs of consolidation (Figure 9).

 

 

 

 

 

There were no complications at the donor site on the foot. He is ambulating with full weight-bearing and without pain.

 

Outcome Assessment

According to the type of injury in this patient, outcomes can be evaluated as follows:5,6

-  He is able to perform basic hand opposition using the newly created metacarpal mass. This corresponds to a pulp-to-lateral grasp.

-  He is not able to perform a true lateral pinch.

-  Aesthetic visual analogue scale:5

-  Functional visual analogue scale:7

 

DISCUSSION AND CONCLUSIONS

When reconstructing a metacarpal hand, toe-to-hand transfer is a highly valuable technique, but it requires an additional procedure to achieve functional opposition.

Complete resection of the metatarsal allows for aesthetic closure of the corresponding intermetatarsal space and reduces the risk of complications at the donor site.

“Recycling” this metatarsal as a non-vascularized bone graft represents a novel option for reconstructing an amputated hand ray. It yields good functional results and enables the patient to perform a wide range of daily activities. In our case, the patient’s aesthetic and functional perceptions were somewhat lower than the average reported in the reference series.5

This technique allows a type 2 metacarpal hand to be addressed in a single surgical stage and with the transfer of only one toe, reducing operative time and potentially lowering the complication rate.

Longer follow-up and a larger cohort are necessary to assess the long-term viability of the technique.

 

REFERENCES

 

1.     Maduri P, Akhondi H. Upper limb amputation. StatPearls 2021 [Internet]. Available at: https://www.ncbi.nlm.nih.gov/books/NBK540962/

2.     Dillingham T, Pezzin L, Mackenzie. Limb amputation and limb deficiency: Epidemiology and recent trends in the United States. South Med J 2002;95(8):875-83. https://doi.org/10.1097/00007611-200208000-00018

3.     ALDeek NF, Lin YT, Wei FC. Metacarpal-like and metacarpal hand. Hand Clin 2016;32(4):549-54. https://doi.org/10.1016/j.hcl.2016.06.004

4.     Barca F, Santi A, Tartoni P, Landi A. Gait analysis of the donor foot in microsurgical reconstruction of the thumb. Foot Ankle Int 1995;16(4):201-6. https://doi.org/10.1177/107110079501600406

5.     del Piñal F. Extreme thumb losses. Plast Reconstr Surg 2019;144(3):665-77. https://doi.org/10.1097/PRS.0000000000005983

6.     Lin CH, Lo S, Lin CH, Lin YT. Opponensplasty provides predictable opposable tripod pinch in toe transfer for proximal thumb ray defect reconstruction. Plast Reconstr Surg 2012;130(6):810e-818e. https://doi.org/10.1097/PRS.0b013e31826d1628

 

 

P. E. Valle ORCID ID: https://orcid.org/0000-0002-0561-3493           

A. Fazio ORCID ID: https://orcid.org/0000-0002-3807-0966

N. Cardinal ORCID ID: https://orcid.org/0009-0002-6480-9354

F. J. Cervigni ORCID ID: https://orcid.org/0000-0001-8518-8716

 

Received on September 11th, 2024. Accepted after evaluation on November 28th, 2024 Dr. Lucas F. Loza  lucasfloza@gmail.com https://orcid.org/0009-0005-4940-6073

 

How to cite this article: Valle PE, Loza LF, Cardinal N, Fazio A, Cervigni FJ“Recycling Technique” for Single-Stage Metacarpal Hand Reconstruction. Rev Asoc Argent Ortop Traumatol 2025;90(6):586-593. https://doi.org/10.15417/issn.1852-7434.2025.90.6.2027

 

 

Article Info

Identification: https://doi.org/10.15417/issn.1852-7434.2025.90.6.2027

Published: December, 2025

Conflict of interests: The authors declare no conflicts of interest.

Copyright: © 2025, Revista de la Asociación Argentina de Ortopedia y Traumatología.

License: This article is under Attribution-NonCommertial-ShareAlike 4.0 International Creative Commons License (CC-BY-NC-SA 4.0).