ACTUALIZACIÓN

 

Protocolo para la atención del trauma no accidental en la población infantojuvenil: aspectos radiológico y traumatológico

 

Bibiana Dello Russo,* Mónica Galeano,** Florencia D’Adamo#

*Servicio de Ortopedia y Traumatología

**Servicio de Diagnóstico por Imágenes

#Equipo de Atención al Trauma no Accidental

Hospital Nacional de Pediatría “Prof. Dr. Juan P. Garrahan”, Ciudad Autónoma de Buenos Aires, Argentina

 

RESUMEN

El maltrato de niños y adolescentes es una violación de los derechos humanos, además de un importante problema de salud pública mundial que afecta a cientos de millones de niños y adolescentes, y tiene graves consecuencias para la salud a corto y largo plazo. Una cuarta parte de los adultos (22,6%) del mundo sufrió abuso físico cuando eran niños; el 36,3% de ellos sufrió abuso emocional y el 16,3%, negligencia física, sin diferencias significativas entre niños y niñas, aunque la prevalencia de abuso sexual infantil a lo largo de la vida indica diferencias más marcadas (niñas alrededor del 20% y niños alrededor del 8%). Se describe el protocolo utilizado en nuestro hospital para el proceso de diagnóstico y tratamiento de las lesiones óseas, y se lo compara con las últimas revisiones sistemáticas publicadas.

Palabras clave: Niños; trauma no accidental; protocolo radiológico.

Nivel de Evidencia: IV

 

Protocol for the Care of Non-Accidental Trauma in the Child and Adolescent Population: Radiological and Traumatological Aspects

 

ABSTRACT

Child and adolescent abuse is a violation of human rights and a major global public health problem affecting hundreds of millions of children and adolescents, with serious short- and long-term health consequences. One quarter of adults (22.6%) worldwide were victims of physical abuse during childhood; among them, 36.3% experienced emotional abuse and 16.3% experienced physical neglect, with no significant differences between boys and girls. However, the lifetime prevalence of childhood sexual abuse shows more marked differences, with rates of approximately 20% in girls and 8% in boys. This article describes the protocol used in our hospital for the diagnosis and management of bone injuries and compares it with the most recent systematic reviews published on the subject.

Keywords: Children; non-accidental trauma; radiological protocol

Level of Evidence: IV

 

INTRODUCCIÓN

Definimos al trauma no accidental (TNA) como el padecido por un niño o adolescente que ha sido objeto de agresiones por parte de padres o custodios, por instituciones o por la sociedad, y a todas las condiciones derivadas de esos actos que los priva de sus derechos, de sus necesidades fundamentales, y dificultan su desarrollo óptimo.1

Existen cuatro tipos de agresiones básicas:

-   Abuso sexual

-   Abuso emocional

-   Abuso físico

-    Negligencia o destrato

Dentro de estas clasificaciones, la epidemiología muestra que las formas de presentación a la consulta médica se acompañan de inconsistencia en el origen de las lesiones y variación en las definiciones de los acontecimientos. Las tasas de agresiones, según su etiología, son: negligencia (59%), tipos múltiples (13%), abuso físico (11%), abuso sexual (8%), maltrato emocional (4%), negligencia médica (<1%).2

A pesar de que los niños de todas las edades y de todos los niveles socioeconómicos pueden sufrir un TNA, es más frecuente que ocurra en el seno de parejas jóvenes primerizas cuando el embarazo no fue planificado, donde media el abuso de sustancias, en familias con bajos ingresos o por parte de padres que han sido abusados.3,4

Las imágenes, a menudo, juegan un papel importante en la detección y documentación de lesiones físicas. El tipo y alcance de las imágenes tomadas a un niño cuando se sospecha abuso dependen de la edad del niño, los signos, los síntomas (Figura 1) y otras consideraciones sociales, como ser gemelo o hermano de un bebé maltratado físicamente. Hacer el diagnóstico de maltrato infantil requiere diferenciar variantes anatómicas y de desarrollo, y posibles condiciones metabólicas y genéticas subyacentes.5

 

 

 

 

 

Entre enero de 2023 y junio de 2024, en el Servicio de Mediano Riesgo del hospital, se evaluó a 766 pacientes con TNA infantojuvenil.

En el 15,1% (81 pacientes), se sospechaba maltrato físico. Veinticinco de ellos requirieron internación (30%).

Los indicadores de ingreso hospitalario fueron:

-   Necesidad de tratamiento urgente que requiere hospitalización.

-   Necesidad de protección inmediata del menor a la espera de un hogar transitorio o centro de acogida.

-   Necesidad de observación de la dinámica familiar en la fase de estudio y diagnóstico ante una situación grave.

-   Niño evaluado en la urgencia hospitalaria cuando todavía no ha finalizado la fase de estudio y tratamiento, ante una situación de gravedad de maltrato.

Dada la alta frecuencia de esta situación, se elaboró el siguiente protocolo.

 

PROTOCOLO RADIOLÓGICO EN NIÑOS CON POSIBLE TNA (SERVICIO DE RADIOLOGÍA PEDIÁTRICA)

Ante la sospecha clínica, se aplica el Protocolo Radiológico en Niños que se detalla en la Tabla 1.

 

 

 

 

 

1.   En niños <2 años, solicitar siempre una serie ósea de forma preferente. Nunca está indicado pedir un “total body” o “baby grama”. Si la radiografía de tórax genera dudas sobre lesiones en las costillas, considerar una tomografía computarizada (TC) de tórax.

Cuando la sospecha de TNA es alta y la serie ósea es normal, se debe realizar un control a los 11-14 días.

2.  En niños <1 año, siempre realizar, de urgencia, una TC de cráneo.

3.   En niños >1 año con evidencia de traumatismo craneal o clínica neurológica, realizar una TC de cráneo urgente.

4.   Evaluar con el Servicio de Radiología Infantil una posible resonancia magnética (RM) de cerebro. La RM de columna completa y de cuerpo entero se debe realizar a los 2-5 días del ingreso, independientemente de que la TC sea normal. Debe ser informada por 2 radiólogos pediátricos. El control con RM cerebral se hará de acuerdo con los hallazgos iniciales y la evolución clínica del paciente.

5.   El estudio de serie ósea puede estar indicado en niños >2 años, en cuyo caso se realizará de forma preferente y según la clínica del paciente.

6.   En un caso severo con sospecha de TNA: a) en hermanos gemelos/mellizos o en niños <2 años, considerar aplicar el mismo protocolo que el caso que genera la sospecha, b) en hermanos >2 años, realizar pruebas según la clínica de los pacientes.

7.  Ante un traumatismo torácico o abdominal, los estudios por imágenes serán consensuados entre el médico y el radiólogo de guardia.

8.   Niño fallecido: serie ósea completa, y RM y TC de cuerpo entero. Las radiografías requeridas son enviadas al Servicio de Radiología con la insignia de TNA para que todos los técnicos sepan realizar, de una sola vez, las radiografía según el protocolo para la detección de las posibles lesiones sin llamar la atención de los familiares acompañantes.

 

DISCUSIÓN

Las fracturas son la segunda señal más común de abuso físico (25-50%), seguidas de las quemaduras (20%). Se estima que el 10% de los casos de trauma en niños <3 años atendidos en las guardias son no accidentales, pero existen subregistros por minimizar la situación o por no efectuar una correcta indagación de las causas y, en muchas ocasiones, estos pacientes son atendidos por un traumatólogo como profesional de primera consulta sin el apoyo de un equipo multidisciplinario.6-9

A pesar de que, en muchas publicaciones, se habla de patrones específicos de fractura para este cuadro, se manifiesta de manera similar al trauma, pero es preciso estar alerta por la coincidencia de estas lesiones con otras de partes blandas, como quemaduras, moretones, y la presencia de este cuadro acompañado de lesiones retinianas es patognomónico.10

Los distintos estadios evolutivos de las fracturas son los que disparan las alertas.11

En 2020, el Royal College of Paediatrics and Child Health6 publicó una revisión sistemática sobre las fracturas producidas por un TNA, que se resumen de la siguiente forma:

1.       Las fracturas por abuso son más comunes en niños <18 meses que en los >18 meses.

2.       Los niños que sufrieron abusos tienen más probabilidades de sufrir fracturas múltiples que los niños que no sufrieron abusos.

3.       Las fracturas de costillas sin un traumatismo importante, una lesión de nacimiento o una enfermedad ósea subyacente tienen un alto valor predictivo de abuso.

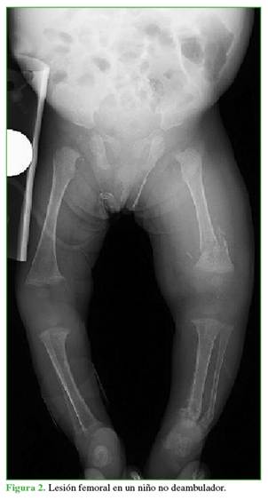
4.       Las fracturas femorales por abuso son más probables en niños que aún no caminan (Figura 2).

5.       Las fracturas de la diáfisis media son las fracturas femorales más comunes en situaciones de abuso y no abuso.

6.       Las fracturas humerales supracondíleas en niños se asocian con lesiones accidentales, mientras que las fracturas humerales por abuso más comunes en niños <5 años son las espirales u oblicuas (Figura 3).

7.       Las fracturas de húmero en niños <18 meses se asocian más con el abuso que las fracturas humerales en niños mayores.

8.       Las fracturas lineales son las fracturas de cráneo por abuso y no abuso más comunes.

9.       Las fracturas metafisarias son más frecuentes en casos de abuso físico infantil que en casos de no abuso, y se han descrito, a menudo, en situaciones de abuso mortal.

10.    La mayoría de los niños con lesiones metafisarias clásicas tiene otras lesiones asociadas que suelen ser múltiples.

11.    Las fracturas de pelvis, manos, pies y esternón ocurren por abuso físico y se requiere una radiología adecuada para su detección.

La exactitud de las estimaciones radiológicas respecto del tiempo que ha transcurrido desde la lesión se expresa en términos de semanas en lugar de días. Los diferentes estadios de consolidación visualizados en la serie ósea sirven para datar la fractura de la siguiente manera:

1.  Resolución de lesión de partes blandas: 1 semana

2.  Formación de hueso nuevo subperióstico: 2 semanas

3.  Pérdida de la línea de fractura y callo óseo blando: 3 semanas

4.  Callo óseo duro: 3-6 semanas

5.  Remodelación más de 3 meses

La evaluación radiológica ante la sospecha de abuso físico incluye pruebas radiológicas iniciales y de seguimiento, que se realizan durante supervisiones semanales a los familiares, específicas para maximizar la detección de lesiones ocultas.

 

 

 

 

 

 

 

Según la especificidad de la relación entre el patrón fracturario y el trauma, se define la especificidad (Tabla 2). La centellografía ósea es un estudio útil para detectar costillas y fracturas vertebrales. Repetirla a las 2 semanas puede ayudar a identificar lesiones ocultas, pero solo queda reservada para casos altamente sospechosos con radiografías negativas en la primera consulta.12

 

 

 

 

 

 

CONCLUSIÓN

Dentro de nuestras series de fractura se destacaron las de miembros inferiores (70%) y, dentro de ellas, las de huesos largos (fémur 60%), datos que coinciden con los de otras series estudiadas.13,14

 

BIBLIOGRAFÍA

 

1.     Sánchez NI, Cuenca L. Estudio sobre maltrato infantil en niños y adolescentes de la Provincia de Buenos Aires. Revista Argentina de Ciencias del Comportamiento 2011;3(3):8-15. https://doi.org/10.32348/1852.4206.v3.n3.5200

2.     Pinto Cortez C. Perspectiva histórica en el estudio del maltrato infantil. Poiésis 2019;(17). https://doi.org/10.21501/16920945.166

3.     UNICEF y Ministerio de Justicia y Derechos Humanos, Argentina. Serie Violencia contra Niñas, Niños y Adolescentes. Fascículo N.° 9. Un análisis de los datos del Programa “Las Víctimas Contra las Violencias” 2020-2021. Disponible en: https://www.unicef.org/argentina/informes/serie-violencia-contra-ninas-ninos-y-adolescentes

4.     Organización Mundial de la Salud. Maltrato infantil. 2022. Disponible en: https://www.who.int/es/news-room/fact-sheets/detail/child-maltreatment

5.     Romano O, Fernández C. Lo esencial en Ortopedia y Traumatología. La Plata: Universidad Nacional de La Plata; EDULP, 2023. Libro digital, PDF - (Libros de cátedra) Archivo Digital: descarga ISBN 978-950-34-2270-0

6.     Pérez Candás JI, Ordóñez Alonso MA, Amador Tejón V. Maltrato emocional. Form Act Pediatr Aten Prim 2018;11(4):215-24. Disponible en: https://fapap.es/files/639-1711-RUTA/06_Maltrato_emocional.pdf

7.     Helfer RE, Slovis TI, Black M. Injuries resulting when small children fall out of bed. Pediatrics 1977;60(4):533-5. https://doi.org/https://doi.org/10.1542/peds.60.4.533

8.     Lirola Cruz MJ, López Barrio AM, Malo JM, Gómez de Terreros I. Análisis de los hallazgos radiológicos en un caso relevante de maltrato infantil. Bienestar y Protección Infantil 1996;2:60-6.

9.     Worlock P, Stower M, Barbor P. Estudio comparativo de las fracturas accidentales y no accidentales en los niños. Br Med J (ed esp) 1987;II:26-30.

10.  Di Pietro MA, Brody AS, Cassady CI, Kleinman PK, Wyly JB, Applegate KE, et al. Diagnostic imaging of child abuse. Pediatrics 2009;123(5):1430-5. https://doi.org/10.1542/peds.2009-0558

11.  Gómez de Terreros I, Serrano Urbano I, Martínez Martín MC. Diagnóstico por imagen del maltrato infantil. Cuad Med Forense 2006;(43-44):21-37. Disponible en: http://scielo.isciii.es/scielo.php?script=sci_arttext&pid=S1135-76062006000100002&lng=es

12.  Curcoy Barcenilla AI, Trenchs Sainz de la Maza V, Pou Fernández J. Utilidad de la gammagrafía ósea en el diagnóstico diferencial del maltrato infantil. An Pediatr (Barc) 2006;65(1):83-90. Disponible en: https://www.analesdepediatria.org/es-utilidad-gammagrafia-osea-el-diagnostico-articulo-13090902

13.  The Royal College of Radiologists. Standards for the interpretation and reporting of imaging investigations, 2nd ed. London: The Royal College of Radiologists; 2018.

14.  Kocher MS, Kasser JR. Orthopaedic aspects of child abuse. J Am Acad Orthop Surg 2000;8(1):10-20. https://doi.org/10.5435/00124635-200001000-00002

 

 

ORCID de M. Galeano: https://orcid.org/0000-0002-3904-3783

ORCID de F. D’Adamo: https://orcid.org/0009-0006-9700-0999

 

Recibido el 26-9-2024. Aceptado luego de la evaluación el 4-9-2025 Dra. Bibiana Dello Russo bibianadellorusso@gmail.com https://orcid.org/0000-0001-6487-4418

 

Cómo citar este artículo: Dello Russo B, Galeano M, D’Adamo F. Protocolo para la atención del trauma no accidental en la población infantojuvenil: aspectos radiológico y traumatológico. Rev Asoc Argent Ortop Traumatol 2025;90(6):597-603. https://doi.org/10.15417/issn.1852-7434.2025.90.6.2039

 

 

Información del artículo

Identificación: https://doi.org/10.15417/issn.1852-7434.2025.90.6.2039

Fecha de publicación: Diciembre, 2025

Conflicto de intereses: Las autoras no declaran conflictos de intereses.

Copyright: © 2025, Revista de la Asociación Argentina de Ortopedia y Traumatología.

Licencia: Este artículo está bajo una Licencia Creative Commons Atribución-No Comercial-Compartir Obras Derivadas Igual 4.0 Internacional. (CC-BY-NC-SA 4.0)