INVESTIGACIÓN CLÍNICA

 

Tendinopatía insercional del tendón de Aquiles: tratamiento quirúrgico con anclajes en doble hilera. Serie de casos

 

Julieta Brué, Virginia M. Cafruni, Ana C. Parise, Julián M. Parma, Daniel S. Villena, Leonardo Á. Conti, N. Marina Carrasco, Pablo Sotelano, María Gala Santini Araujo

Sección Medicina y Cirugía de Tobillo y Pie, Hospital Italiano de Buenos Aires, Ciudad Autónoma de Buenos Aires, Argentina

 

RESUMEN

Introducción: La tendinopatía insercional del tendón de Aquiles que no mejora con un tratamiento conservador requiere cirugía. Uno de los tratamientos quirúrgicos es la resección de la exostosis retrocalcánea, el desbridamiento de las calcificaciones intratendinosas y la reinserción del tendón de Aquiles. Para ello, hay un sistema de anclajes de doble hilera que permitiría una mayor área de contacto con el área de inserción y generaría más estabilidad biomecánica. El propósito de este artículo es comunicar los resultados clínicos y funcionales en pacientes operados con esta técnica. Materiales y Métodos: Se realizó un estudio retrospectivo en pacientes adultos consecutivos operados por tendinopatía insercional del tendón de Aquiles mediante un sistema de anclajes de doble hilera. Se registraron los datos demográficos, el tiempo hasta el retorno al trabajo y al deporte, el puntaje de la escala analógica visual, el nivel de satisfacción y las complicaciones. Resultados: Se incluyó a 21 pacientes (edad media 55 años; rango 45-63). El 76,14% estaba muy satisfecho. El tiempo medio hasta el retorno a las actividades habituales fue de 2.96 meses y hasta el retorno al deporte, de 5 meses. El puntaje de la escala analógica visual fue de 9,26 antes de la cirugía y de 2,5 después (p <0,05). Conclusiones: El tratamiento con anclaje de doble hilera para la tendinopatía insercional del tendón de Aquiles es una opción eficaz, permite un retorno temprano a las actividades habituales y el retorno completo al deporte. Las complicaciones son limitadas y el nivel de satisfacción es alto.

Palabras clave: Tendinopatía insercional del tendón de Aquiles; Haglund; reinserción; doble hilera; SpeedBridge™.

Nivel de Evidencia: IV

 

Insertional Achilles Tendinopathy: Surgical Treatment with Double-Row Suture Anchors. Case Series

 

ABSTRACT

Introduction: Insertional Achilles tendinopathy (IAT) that fails to improve with conservative management often requires surgical intervention. One surgical approach consists of resecting the retrocalcaneal exostosis, debriding intratendinous calcifications, and reattaching the Achilles tendon. The use of a double-row suture anchor system has been proposed to increase the tendon -bone contact area at the insertion site and enhance biomechanical stability. The purpose of this study is to report the clinical and functional outcomes of patients treated with this technique. Materials and Methods: A retrospective study was conducted on consecutive adult patients who underwent surgical treatment for IAT using a double-row suture anchor system. Demographic data, time to return to work and sports, visual analog scale (VAS) scores, patient satisfaction, and complications were recorded. Results: Twenty-one patients were included, with a mean age of 55 years (range, 45 -63). Of these, 76.14% reported being very satisfied with the outcome. The average time to return to daily activities was 2.96 months, and the time to return to sports was 5 months. The mean VAS score decreased from 9.26 preoperatively to 2.5 postoperatively (p < 0.05). Conclusion: Surgical treatment of insertional Achilles tendinopathy with a double-row suture anchor technique is an effective option. It is associated with high patient satisfaction, early return to daily activities, full return to sports, and a low complication rate.

Keywords: Insertional Achilles tendinopathy; Haglund deformity; Achilles tendon reattachment; double-row suture anchors; SpeedBridge™.

Level of Evidence: IV

 

INTRODUCCIÓN

Entre el 2% y el 6% de la población padecerá algún tipo de dolor en el tendón de Aquiles durante su vida.1,2 Un tercio de esos pacientes sufrirá tendinopatía insercional del tendón de Aquiles (TIA).3,4 La TIA se diagnostica comúnmente a atletas competitivos o recreativos, pero puede afectar a todo tipo de personas, la franja etaria de presentación más frecuente es la década de los 40 años.5,6

La TIA incluye 3 entidades que pueden aparecer de forma aislada o simultánea: tendinosis insercional del tendón de Aquiles con calcificaciones intratendinosas, bursitis retrocalcánea y exostosis de la tuberosidad posterior del calcáneo o deformidad de Haglund.7,8 Cuando se presentan en simultáneo, se denomina “tríada de Haglund” o “síndrome de Haglund”, en reconocimiento a Patrick Haglund quien, en 1928, describió este cuadro.9

Clínicamente se manifiesta con dolor y una prominencia palpable en la región posterolateral del talón, con eritema y edema localizado que limita la actividad laboral y deportiva, y genera conflicto con el calzado.8-10

El tratamiento de elección inicial es el conservador, que incluye antinflamatorios no esteroides, modificación de la actividad y del calzado, ortesis, inmovilización, ejercicios excéntricos, ondas de choque extracorpóreas, parches de nitroglicerina, infiltraciones con corticoides o agentes esclerosantes.11-13 Aunque este tipo de tratamiento se realice de manera apropiada, según un estudio, la tasa de éxito es inferior al 50%.14 Luego de 6 meses de tratamiento conservador, sin buenos resultados, se opta por la cirugía.1,2,5,6,10-15

La operación consiste en la resección de la exostosis retrocalcánea, la escisión de la bursitis, el desbridamiento del tendón enfermo y las calcificaciones intratendinosas, y la reinserción del tendón de Aquiles al calcáneo.1,2,5,8 Puede lograrse a través de varias vías de abordaje, como abierta, endoscópica y percutánea. Los abordajes endoscópico y percutáneo permiten descomprimir el espacio retrocalcáneo; sin embargo, plantean dificultades para el desbridamiento del tejido degenerativo y las calcificaciones intratendinosas.1,2,13 Mediante una vía abierta se puede abordar toda la tríada, ya que permite una exposición mayor. Se puede realizar a través de una incisión posterolateral, posteromedial o central.3 El desbridamiento del tendón de Aquiles incluye la desinserción parcial, completa o su apertura central. Se ha demostrado que el riesgo de rotura completa del tendón en el posoperatorio es más bajo si se desinserta menos del 50% del tendón. Si es preciso desinsertar más del 50%, será necesario reinsertarlo con anclajes.15 A diferencia de la reinserción con una sola hilera de anclajes, una doble hilera permitiría una mayor área de contacto con la zona de inserción y se generaría más estabilidad biomecánica, lo que permitiría una rehabilitación precoz y menos tiempo de descarga e inmovilización.12,13,15

El propósito de este estudio fue evaluar los resultados clínicos y funcionales obtenidos en pacientes con diagnóstico de TIA operados, en nuestra Sección, con un abordaje abierto, mediante desinserción tendinosa, resección de la exostosis retrocalcánea, escisión de la bursitis, desbridamiento del tendón enfermo y las calcificaciones intratendinosas, y reinserción del tendón de Aquiles al calcáneo utilizando un sistema de doble hilera de anclajes.

 

MATERIALES Y MÉTODOS

Se llevó a cabo un estudio observacional, retrospectivo y descriptivo, de una serie de casos. La población estaba formada por pacientes adultos consecutivos de ambos sexos, operados por el mismo equipo de la Sección Medicina y Cirugía de Tobillo y Pie, tratados por TIA utilizando el sistema de doble hilera de anclajes Achilles SpeedBridge™ Repair (Arthrex Inc., FL, EE.UU.), entre marzo de 2015 y marzo de 2021.

Los datos se obtuvieron de la historia clínica digital de los pacientes, de manera sistemática, durante las consultas preoperatorias y posoperatorias, y se complementaron con un cuestionario personal para los pacientes. La recolección de datos y las mediciones estuvieron a cargo de un fellow y un cirujano junior del equipo, quienes no participaron como cirujanos en estos procedimientos.

Esta investigación contó con la aprobación previa del Comité de Ética de la institución, y cumple con la normativa de la Declaración de Helsinki y de Buenas Prácticas Clínicas. Se garantiza la confidencialidad de los datos según la Ley de Protección de Datos Personales N.° 25.326.

Se incluyó a pacientes >18 años con diagnóstico de TIA con tríada de Haglund, en quienes había fracasado el tratamiento conservador con adaptaciones de calzado, ortesis, tratamiento kinésico, ejercicios de elongación de la cadena muscular posterior y antinflamatorios no esteroides por vía oral, durante un mínimo de 6 meses, y que tenían un seguimiento posoperatorio mínimo de 12 meses.

Se excluyó aquellos pacientes que requirieron procedimientos asociados, como transferencia del músculo flexor largo del dedo gordo, alargamiento del tendón de Aquiles o avances en V-Y, o con desinserción traumática del tendón, cirugías previas en el tendón de Aquiles o historias clínicas electrónicas incompletas.

Las variables registradas fueron: sexo y edad, lado afectado, tiempo de evolución en meses desde el inicio de los síntomas hasta la cirugía, comorbilidades, como diabetes, tabaquismo, obesidad, sobrepeso y dislipemia. Se registró el índice de masa corporal (IMC), que se utilizó como indicador del estado nutricional, clasificando a los pacientes en bajo peso (<18,5), peso normal (18,5-24,9), sobrepeso (25-29,9) y obesidad (≥30). Se utilizó la escala analógica visual (EAV) para determinar la intensidad del dolor en las etapas pre y posquirúrgica. Esta escala consiste en una línea horizontal de 10 cm, en cuyos extremos se representa la ausencia de dolor (0) y la máxima intensidad de dolor (10). Los pacientes marcaron la intensidad percibida, la cual se midió con una regla milimétrica, clasificando el dolor como leve (<3), moderado (4-7) o severo (≥8). Además, se evaluó el grado de satisfacción después de la cirugía empleando una encuesta subjetiva en la que los pacientes calificaron los resultados clínicos y funcionales como “muy bueno” (evolución favorable sin dolor ni molestias), “bueno” (satisfacción con leves molestias y sin dificultad para caminar), “moderado” (dolor moderado con alguna dificultad para caminar) o “malo” (dolor persistente, escasa mejoría y arrepentimiento de haberse operado con esta técnica). Asimismo, se registraron las complicaciones posquirúrgicas, como infecciones superficiales o profundas, dolor, dehiscencia de la herida, lesiones nerviosas o vasculares, desinserción del tendón y limitación de la movilidad. La gravedad de las complicaciones se evaluó con la clasificación de Clavien-Dindo modificada para cirugía de pie y tobillo.16

 

Técnica quirúrgica

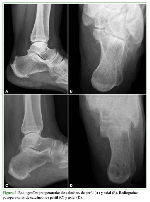
Se ubica al paciente en decúbito prono con ambas piernas sobre la mesa quirúrgica y se administra anestesia regional. Se coloca un manguito hemostático en el muslo. Se realiza un abordaje en T invertida al tendón de Aquiles, liberando la inserción enferma del tendón, si es necesario, se libera por completo. Se procede a la resección de la bursitis retrocalcánea, el desbridamiento del tendón enfermo y la resección de la deformidad de Haglund con sierra oscilante (Figura 1). Se continúa con la reinserción del remanente sano del tendón de Aquiles sobre la zona de inserción utilizando el sistema de sutura de doble hilera Achilles SpeedBridge™ Repair. Finalmente se procede al cierre por planos (Figuras 2 y 3).

 

 

 

 

 

 

 

 

 

 

Protocolo posquirúrgico

El protocolo posquirúrgico inmediato consiste en profilaxis antibiótica con cefalexina 1 g, cada 12 h, por 48 h, y un plan de analgesia según necesidad.

Se controla a los pacientes a los 7 y 15 días, a los meses 1, 2, 3 y 6, y al año. A todos se les realizan controles semanales durante las primeras 2 semanas para la curación de la herida y el control del yeso.

Se mantiene una bota corta de yeso en equino por 2 semanas, sin carga. Luego se pasa a una bota Walker con realce de 4 cm en el talón para mantener el equino, se inicia la carga según la tolerancia, se permiten los ejercicios de movilidad de tobillo sin exceder la dorsiflexión neutra del tobillo. A partir de la cuarta semana, se autoriza el uso de zapatillas para comenzar a caminar y la carga total según la tolerancia, se inician los ejercicios de fortalecimiento muscular, progresando en el tercer mes con elongación suave. Se permite el comienzo de la actividad deportiva progresiva y de impacto a partir del quinto mes.

 

Evaluación clínica, funcional y de satisfacción

En los controles, se registraron el tiempo en meses de retorno a las actividades habituales y deportivas, y las complicaciones posquirúrgicas.

 

 

 

 

 

Al año de seguimiento, se registró la EAV y el grado de satisfacción después de la cirugía.

 

Análisis estadístico

Se realizó un análisis descriptivo de las variables con media y desviación estándar (DE) o mediana y rango intercuartílico (RIC) para las variables numéricas, según su distribución. Las variables categóricas se expresan como valores absolutos y proporciones. Para los objetivos que requieren comparación entre variables continuas en diferentes grupos, se utilizó la prueba de la t de Student para muestras pareadas. Se consideró estadísticamente significativo un valor p <0,05.

El análisis estadístico se realizó con el programa Stata 17© Versión 2021, StataCorp LLC.

 

RESULTADOS

La población del estudio estaba compuesta por 21 pacientes adultos consecutivos, de ambos sexos, con diagnóstico de TIA, operados por el mismo equipo quirúrgico, mediante una técnica abierta para la reinserción con un sistema de sutura de doble hilera, entre marzo de 2015 y marzo de 2021.

 

Características demográficas y clínicas

La mediana de edad al operarse era de 55 años (RIC 45-63), 11 (52,3%) eran hombres. Once (52,3%) tendones de Aquiles operados eran del lado derecho. La mediana de seguimiento fue de 16 meses (RIC 6-24). La mediana de tiempo hasta la cirugía fue de 12 meses (RIC 12-18).

Dentro de las comorbilidades registradas, el IMC era de 31,3 (DE 5,8): 9 (42,8%) pacientes eran obesos, uno tenía diabetes controlada (4%), 5 (23,8%) eran tabaquistas y 4 (19%) tenían dislipemia.

Las características demográficas y clínicas de los pacientes se detallan en la Tabla 1.

 

 

 

 

 

 

Resultados funcionales y clínicos

El 76,14% de los pacientes refirió estar “muy satisfecho” con los resultados de esta técnica quirúrgica. Ninguno consideró su resultado como insatisfactorio.

La media del puntaje en la EAV fue de 9,26 (DE 1,6) antes de la cirugía y de 2,5 (DE 1,62) después, una diferencia estadísticamente significativa (p <0,05). Los resultados funcionales se muestran en la Tabla 2.

 

 

 

 

 

Tiempo hasta el retorno a las actividades habituales y deportivas

El tiempo medio hasta el retorno a las actividades habituales fue de 2.96 meses (DE 1,65), mientras que el tiempo hasta el retorno al deporte promedió los 5 meses (DE 2.19).

 

Complicaciones

Se registraron 5 complicaciones (23,8%). Tres pacientes sufrieron molestias en los arpones y fue necesario retirarlos al año de la operación; uno tuvo una infección profunda secundaria a la dehiscencia de la herida que requirió limpieza quirúrgica y otro sufrió una trombosis venosa profunda. En la Tabla 3, se muestra la clasificación de Clavien-Dindo modificada para cirugía de pie y tobillo.

 

 

 

 

 

DISCUSIÓN

Este estudio demuestra que la combinación de desbridamiento del tendón enfermo, calcaneoplastia, reconstrucción del área de inserción y la reinserción tendinosa con anclaje en doble hilera para el tratamiento de la TIA alivia significativamente el dolor, permite una rápida recuperación para realizar las actividades habituales y deportivas, y el nivel de satisfacción de los pacientes es alto.

La tendinopatía del tendón de Aquiles tiene una etiología multifactorial. La alineación del retropié, el tipo de calzado y la altura del talón pueden influir en su desarrollo, al igual que el sobreuso en las actividades deportivas. Además, existe evidencia de que factores genéticos y médicos, como diabetes, edad avanzada, hipertensión, obesidad, uso de corticoides y fluoroquinolonas, se relacionan con tendinopatías del tendón de Aquiles.6,11 En nuestra población, la tasa de comorbilidades fue alta, predominó el sobrepeso, con un IMC promedio de 31,3 (DE 5,8). Nueve pacientes (42,8%) tenían obesidad y uno (4%), diabetes controlada. Estos hallazgos refuerzan la importancia de considerar las comorbilidades en la evaluación y el tratamiento de las tendinopatías del tendón de Aquiles.

Nuestros resultados muestran una mejora significativa en las escalas funcionales y un alto nivel de satisfacción después de la cirugía. El puntaje medio en la EAV fue de 9,26 (DE 1,6) en la evaluación prequirúrgica y de 2,5 (DE 1,62) después de la cirugía, una diferencia estadísticamente significativa (p <0,05). Además, el 76,14% refirió estar “muy satisfecho” con los resultados de esta técnica quirúrgica. Estos hallazgos son comparables con los publicados sobre esta misma técnica. En un estudio de 13 pacientes, Abarquero-Diezhandino y cols.17 comunicaron un puntaje preoperatorio en la EAV de 8,8 y de 1,3 después de la cirugía. Además, el puntaje de la American Orthopaedic Foot and Ankle Society (AOFAS) mejoró de 34,8 a 90,9, con un aumento promedio de 56,1 puntos, lo que fue estadísticamente significativo. En la serie más reciente, publicada por Stumpner y cols.,18 se evaluó la capacidad deportiva y la función del tobillo en 25 pacientes sometidos a la misma técnica quirúrgica. Los resultados mostraron una reducción significativa en el puntaje de la EAV para dolor durante la actividad deportiva, de 7,4 (DE 2,5) a 1,2 (DE 2,0) tras la operación (p <0,001). Además, la capacidad deportiva y la percepción subjetiva del estado físico mejoraron significativamente, de 3,6 (DE 3,0) y 3,5 (DE 2,2) a 8,8 (DE 2,4) y 8,8 (DE 2,2), respectivamente (p <0,001). Asimismo, hubo una tendencia hacia la transición de deportes de alto impacto a deportes de menor impacto después de la cirugía. El 96% de los pacientes calificó el resultado quirúrgico como bueno o excelente, lo que se corresponde con los hallazgos de nuestro estudio.

Estos resultados respaldan la eficacia de la técnica con anclajes en doble hilera para la TIA, que genera una notable mejoría del dolor y la función, con altos niveles de satisfacción y retorno a las actividades.

Existen diversas técnicas de reinserción del tendón de Aquiles, y el método óptimo aún es tema de debate.18 En un estudio cadavérico, se comparó la reinserción del tendón de Aquiles utilizando una hilera de anclajes o dos hileras de anclajes en 18 especímenes.13 A la mitad de los preparados se los fijó con una sola hilera de anclajes, mientras que, en la otra mitad, se utilizó doble hilera. Según los resultados, la técnica de doble hilera ofreció una mayor cobertura del área de inserción y más resistencia a la carga, lo que sugiere una fijación más robusta y potencialmente una rehabilitación precoz. Rigby y cols.5 publicaron una serie de 43 casos en los que utilizaron una doble hilera de anclajes para la reinserción en pacientes con TIA y al 81% se les asoció un procedimiento (resección de gastrocnemio [33 casos] y transferencias de flexor largo del dedo gordo [2 casos]). La carga se inició en un promedio de 10 días (rango 0-28). Estos resultados coinciden con los de nuestro protocolo posoperatorio, que permite la carga parcial desde la segunda semana según la tolerancia.

Nuestro abordaje de elección es la incisión en T invertida central, ya que permite una exposición completa de la inserción, conservando las inserciones medial y lateral, si fuera necesario. Esto facilita un desbridamiento amplio del tejido enfermo sin riesgo de provocar una lesión vascular o nerviosa. Además, se ha demostrado que este abordaje logra buenos resultados clínicos y provoca escasas complicaciones.8,19

La tasa de complicaciones por este procedimiento oscila entre el 6% y más del 30% y las más frecuentes son los problemas de cicatrización, el dolor en la zona de la cicatriz y la lesión del nervio sural.1 En nuestro estudio, la tasa global de complicaciones fue del 23,8%, con una única complicación grave: una infección profunda (4,7%). Además, 3 pacientes sintieron molestias en los anclajes y requirieron una nueva intervención para retirarlos, una complicación ya informada por Vega y cols.,12 quienes describieron molestias por nudos subcutáneos en 2 de 12 pacientes, que también requirieron cirugía de revisión. A pesar de ello, todos nuestros pacientes continuaron satisfechos con el resultado final de la cirugía. Es importante destacar que no se registraron casos de desinserción ni lesiones vasculares o nerviosas.

Una fortaleza de este estudio es que analiza una técnica quirúrgica a cargo del mismo equipo, lo que aporta homogeneidad en el procedimiento y el seguimiento. Se trataría del primer estudio sobre esta técnica llevado a cabo en nuestra región, lo que brinda información valiosa a la bibliografía local. Sin embargo, sus limitaciones son el diseño retrospectivo y la reducida cantidad de pacientes. Para obtener una mejor evidencia, se requieren estudios comparativos y aleatorizados.

 

CONCLUSIONES

El tratamiento quirúrgico con anclajes en doble hilera para la TIA que no responde al tratamiento conservador representa una intervención eficaz. Con esta cirugía, se logran un retorno completo a las actividades habituales y deportivas, altos niveles de satisfacción, significativa reducción del dolor y una baja incidencia de complicaciones graves. Estos hallazgos respaldan su consideración como una alternativa terapéutica válida en casos seleccionados.

 

BIBLIOGRAFÍA

 

1.     Chimenti RL, Cychosz CC, Hall MM, Phisitkul P. Current concepts review update: Insertional Achilles tendinopathy. Foot Ankle Int 2017;38(10):1160-9. https://doi.org/10.1177/1071100717723127

2.     Lopes R, Ngbilo C, Padiolleau G, Boniface O. Endoscopic speed bridge: A new treatment for insertional Achilles tendinopathy. Orthop Traumatol Surg Res 2021;107(6):102854. https://doi.org/10.1016/j.otsr.2021.102854

3.     Karjalainen PT, Soila K, Aronen HJ, Pihlajamäki HK, Tynninen O, Paavonen T, et al. MR imaging of overuse injuries of the Achilles tendon. AJR Am J Roentgenol 2000;175(1):251-60. https://doi.org/10.2214/ajr.175.1.1750251

4.     Khan KM, Forster BB, Robinson J, Cheong Y, Louis L, Maclean L, et al. Are ultrasound and magnetic resonance imaging of value in assessment of Achilles tendon disorders? A two year prospective study. Br J Sports Med 2003;37(2):149-53. https://doi.org/10.1136/bjsm.37.2.149

5.     Rigby RB, Cottom JM, Vora A. Early weightbearing using Achilles suture bridge technique for insertional Achilles tendinosis: a review of 43 patients. J Foot Ankle Surg 2013;52(5):575-9. https://doi.org/10.1053/j.jfas.2012.11.004

6.     Irwin TA. Current concepts review: insertional achilles tendinopathy. Foot Ankle Int 2010;31(10):933-9. https://doi.org/10.3113/FAI.2010.0933

7.     DeOrio MJ, Easley ME. Surgical strategies: insertional achilles tendinopathy. Foot Ankle Int 2008;29(5):542-50. https://doi.org/10.3113/FAI-2008-0542

8.     DeVries JG, Summerhays B, Guehlstorf DW. Surgical correction of Haglund’s triad using complete detachment and reattachment of the Achilles tendon. J Foot Ankle Surg 2009;48(4):447-51. https://doi.org/10.1053/j.jfas.2009.03.004

9.     Sergio F. Haglund’s disease: notes on clinical diagnosis and surgical technique. Foot Ankle Surg 1997;3(4):175-81. https://doi.org/10.1046/j.1460-9584.1997.00071.x

10.  Vega MR, Cavolo DJ, Green RM, Cohen RS. Haglund’s deformity. J Am Podiatry Assoc 1984;74(3):129-35. https://doi.org/10.7547/87507315-74-3-129

11.  Witt BL, Hyer CF. Achilles tendon reattachment after surgical treatment of insertional tendinosis using the suture bridge technique: a case series. J Foot Ankle Surg 2012;51(4):487-93. https://doi.org/10.1053/j.jfas.2012.03.006

12.  Vega J, Baduell A, Malagelada F, Allmendinger J, Dalmau-Pastor M. Endoscopic Achilles tendon augmentation with suture anchors after calcaneal exostectomy in Haglund syndrome. Foot Ankle Int 2018;39(5):551-9. https://doi.org/10.1177/1071100717750888

13.  Beitzel K, Mazzocca AD, Obopilwe E, Boyle JW, McWilliam J, Rincon L, et al. Biomechanical properties of double- and single-row suture anchor repair for surgical treatment of insertional Achilles tendinopathy. Am J Sports Med 2013;41(7):1642-8. https://doi.org/10.1177/0363546513487061

14.  Nicholson CW, Berlet GC, Lee TH. Prediction of the success of nonoperative treatment of insertional Achilles tendinosis based on MRI. Foot Ankle Int 2007;28(4):472-7. https://doi.org/10.3113/fai.2007.0472

15.  Scott AT, Long CS, Jaramillo TJ, Lara DL, Marois AJ, Juneja P. Review of Achilles tendon reattachment using double-row knotted and knotless techniques in the management of insertional Achilles tendinopathy. J Foot Ankle Surg 2022;61(5):927-31. https://doi.org/10.1053/j.jfas.2021.12.015

16.  Lewis TL, Mason L, Gordon D, Ray R. The Clavien-Dindo complication classification modified for foot and ankle orthopaedic surgery. Foot Ankle Surg 2022;28(6):800-2. https://doi.org/10.1016/j.fas.2022.03.006

17.  Abarquero-Diezhandino A, Vacas-Sánchez E, Hernanz-González Y, Vilá-Rico J. Estudio de los resultados clínico-funcionales de la calcaneoplastia abierta y reparación tendinosa con sistema de cinta y doble hilera en el tratamiento de la tendinopatía insercional del tendón de Aquiles. Rev Esp Cir Ortop Traumatol 2021;65(1):47-53. https://doi.org/10.1016/j.recot.2020.07.003

18.  Stumpner T, Recheis S, Gruber MS, Kindermann H, Mattausch D, Bock P, et al. Achilles tendon debridement, calcaneoplasty and double-row tendon footprint reconstruction improve ankle function and athletic performance in patients with insertional Achilles tendinopathy. Foot Ankle Surg 2024;30(8):673-80. https://doi.org/10.1016/j.fas.2024.05.014

19.  Calder JDF, Saxby TS. Surgical treatment of insertional Achilles tendinosis. Foot Ankle Int 2003;24(2):119-21. https://doi.org/10.1177/107110070302400203

 

 

ORCID de V. M. Cafruni: https://orcid.org/0000-0002-8115-6300      

ORCID de L. Á. Conti: https://orcid.org/0000-0003-2333-5834

ORCID de A. C. Parise: https://orcid.org/0000-0001-7308-3693         

ORCID de N. M. Carrasco: https://orcid.org/0000-0002-1251-4936

ORCID de J. M. Parma: https://orcid.org/0000-0003-0337-289X        

ORCID de P. Sotelano: https://orcid.org/0000-0001-8714-299X

ORCID de D. S. Villena: https://orcid.org/0000-0001-5742-1226        

ORCID de M. G. Santini Araujo: https://orcid.org/0000-0002-5127-5827

 

 

Recibido el 9-2-2025. Aceptado luego de la evaluación el 27-2-2025 Dra. Julieta Brué julietabrue@gmail.com https://orcid.org/0000-0001-8378-0863

 

Cómo citar este artículo: Brué J, Cafruni VM, Parise AC, Parma JM, Villena DS, Conti LÁ, Carrasco NM, Sotelano P, Santini Araujo MG. Tendinopatía insercional del tendón de Aquiles: tratamiento quirúrgico con anclajes en doble hilera. Serie de casos. Rev Asoc Argent Ortop Traumatol 2025;90(2):141-149. https://doi.org/10.15417/issn.1852-7434.2025.90.2.2114

 

 

Información del artículo

Identificación: https://doi.org/10.15417/issn.1852-7434.2025.90.2.2114

Fecha de publicación: Abril, 2025

Conflicto de intereses: Los autores no declaran conflictos de intereses.

Copyright: © 2025, Revista de la Asociación Argentina de Ortopedia y Traumatología.

Licencia: Este artículo está bajo una Licencia Creative Commons Atribución-No Comercial-Compartir Obras Derivadas Igual 4.0 Internacional. (CC-BY-NC-SA 4.0)