Artroplastia total de rodilla en pacientes con secuela de fracturas articulares. Resultados del seguimiento a mediano plazo
Contenido principal del artículo
Resumen
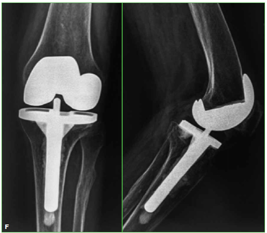
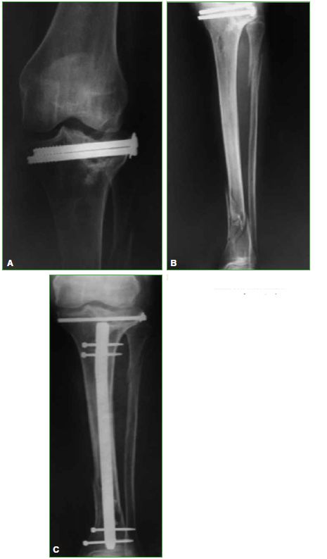
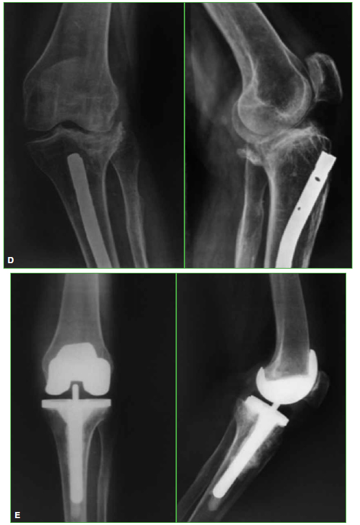
Materiales y Métodos: Estudio retrospectivo observacional, entre mayo de 1999 y enero de 2013. Se evaluaron 25 RTR en 24 pacientes (edad promedio 67.1 años) con secuela de fractura articular de rodilla y un seguimiento promedio de 6.1 años. Tres (12%) tenían cirugías anteriores al RTR. Ocho se resolvieron en dos tiempos. Se empleó un implante constreñido en 4 pacientes (16%). Se determinaron el KSS, el KSSf y el rango de movilidad preoperatorios y del último control. Se documentó la supervivencia del implante.
Resultados: El KSS se incrementó de 38,5 en el preoperatorio a 82,8 en promedio. El KSSf posoperatorio mejoró de 48 a 85. El rango de movilidad aumentó de un promedio de 7,5-76° a 1-102,4° en el posoperatorio. Cuatro casos fueron reoperados. La supervivencia de la prótesis fue del 92% a los 6.1 años.
Conclusiones: El RTR es adecuado para la gonartrosis postraumática en su estadio final, con buenos resultados a mediano plazo. Si se logran una adecuada alineación posoperatoria y un correcto posicionamiento de los componentes, los resultados son satisfactorios y se asemejan a los del RTR por gonartrosis idiopática.
Descargas
Métricas
Detalles del artículo
La aceptación del manuscrito por parte de la revista implica la no presentación simultánea a otras revistas u órganos editoriales. La RAAOT se encuentra bajo la licencia Creative Commons 4.0. Atribución-NoComercial-CompartirIgual (http://creativecommons.org/licenses/by-nc-sa/4.0/deed.es). Se puede compartir, copiar, distribuir, alterar, transformar, generar una obra derivada, ejecutar y comunicar públicamente la obra, siempre que: a) se cite la autoría y la fuente original de su publicación (revista, editorial y URL de la obra); b) no se usen para fines comerciales; c) se mantengan los mismos términos de la licencia.
En caso de que el manuscrito sea aprobado para su próxima publicación, los autores conservan los derechos de autor y cederán a la revista los derechos de la publicación, edición, reproducción, distribución, exhibición y comunicación a nivel nacional e internacional en las diferentes bases de datos, repositorios y portales.
Se deja constancia que el referido artículo es inédito y que no está en espera de impresión en alguna otra publicación nacional o extranjera.
Por la presente, acepta/n las modificaciones que sean necesarias, sugeridas en la revisión por los pares (referato), para adaptar el trabajo al estilo y modalidad de publicación de la Revista.
Citas
2. Massin P. Total knee replacement in post-traumatic arthritic knees with limitation of flexion. Orthop Traumatol Surg Res [Internet]. 2011;97(1):28-33. https://doi.org/10.1016/j.otsr.2010.06.016
3. Putman S, Argenson J, Bonnevialle P, Ehlinger M, Vie P, Leclercq S, et al. Ten-year survival and complications of total knee arthroplasty for osteoarthritis secondary to trauma or surgery: A French multicentre study of 263 patients. Orthop Traumatol Surg Res 2018;104:161-4. https://doi.org/10.1016/j.otsr.2017.11.019
4. Saleh K, Sherman P, Katkin P, Windsor R, Haas S, Laskin R, Sculco P. Total knee arthroplasty after open reduction and internal fixation of fractures of the tibial plateau. J Bone Joint Surg (Am) 2001;83(8):1144-8. https://doi.org/10.2106/00004623-200108000-00002
5. Weiss NG, Parvizi J, Hanssen AD, Trousdale RT, Lewallen DG. Total knee arthroplasty in post-traumatic arthrosis of the knee. J Arthroplasty 2003;18(3):23-6. https://doi.org/10.1054/arth.2003.50068
6. El-galaly A, Haldrup S, Pedersen AB, Kappel A, Jensen MU, Nielsen PT. Increased risk of early and medium-term revision after post-fracture total knee arthroplasty. Results from the Danish Knee Arthroplasty Register. Acta Orthop 2017;88(3):263-8. https://doi.org/10.1080/17453674.2017.1290479
7. Papadopoulos EC, Parvizi J, Lai CH, Lewallen DG. Total knee arthroplasty following prior distal femoral fracture. Knee 2002;9:267-74. https://doi.org/10.1016/s0968-0160(02)00046-7
8. Elsoe R, Johansen MB, Larsen P. Tibial plateau fractures are associated with a long-lasting increased risk of total knee arthroplasty a matched cohort study of 7,950 tibial plateau fractures. Osteoarthr Cartil [Internet] 2018. https://doi.org/10.1016/j.joca.2018.12.020
9. Lonner JH, Pedlow FX, Siliski JM. Total knee arthroplasty for post-traumatic osteoarthritis. J Arthroplasty 1999;14(8):969-75. https://doi.org/10.1016/s0883-5403(99)90012-8
10. Coonse KD, Adams JD. A new operative approach for the knee joint. Surg Gynecol Obs 1943;77:344-7.
11. Weiss NG, Parvizi J, Trousdale RT, Bryce RD, Lewallen DG. Total knee arthroplasty in patients with a prior fracture of the tibial plateau. J Bone Joint Surg 2003;85(2):218-21. https://doi.org/10.2106/00004623-200302000-00006
12. Meftah M, Jhurani A, Bhat JA, Ranawat AS, Ranawat CS. The effect of patellar replacement technique on patellofemoral complications and anterior knee pain. J Arthroplasty [Internet] 2012;27(6):1075-1080.e1. http://dx.doi.org/10.1016/j.arth.2011.10.006
13. Salcedo Zunino LA, Gutierrez Olivera N, Pioli I, Bidolegui F, Vindver G, Allende BL. Reemplazo total de rodilla en secuela de fracturas alrededor de la rodilla. Rev Asoc Arg Ortop Traumatol 2017;82(2):102-8. https://doi.org/10.15417/551
14. Lizaur-Utrilla A, Collados-Maestre I, Miralles-Muñoz FA, Lopez-Prats FA. Total knee arthroplasty for osteoarthritis secondary to fracture of the tibial plateau . A prospective matched cohort study. J Arthroplasty 2015;30(8):1329-32. https://doi.org/10.1016/j.arth.2015.02.032
15. Manidakis N, Dosani A, Dimitriou R, Stengel D, Matthews S, Giannoudis P. Tibial plateau fractures: functional outcome and incidence of osteoarthritis in 125 cases. Int Orthop 2010;34(4):565-70. https://doi.org/10.1007/s00264-009-0790-5
16. Gehrke T, Parvizi J. Proceedings of the International Consensus Meeting on Periprosthetic Joint Infection. https:// www.efort.org/wp-content/uploads/2013/10/Philadelphia_Consensus.pdf
17. Khoshbin A, Stavrakis A, Sharma A, Woo P. Patient-reported outcome measures of total knee arthroplasties for post-traumatic arthritis versus osteoarthritis: A short-term (5- to 10-year) retrospective matched cohort study. J Arthroplasty 2019;34(5):P872-6. https://doi.org/10.1016/j.arth.2019.01.022
18. Lunebourg A, Parratte S, Gay A, Ollivier M, Garcia-Parra K, Argenson JN. Lower function, quality of life, and survival rate after total knee arthroplasty for posttraumatic arthritis than for primary arthritis. Acta Orthop 2015;86(2):189-94. https://doi.org/10.3109/17453674.2014.979723
19. Gaine WJ, Ramamohan NA, Hussein NA, Hullin MG, McCreath SW. Wound infection in hip and knee arthroplasty. J Bone Joint Surg Br 2000;82(4):561-5. https://doi.org/10.1302/0301-620x.82b4.10305
20. Chun KC, Kim KM, Chun CH. Infection following total knee arthroplasty. Knee Surg Relat Res 2013;25(3):93-9. https://doi.org/10.5792/ksrr.2013.25.3.93
21. Suzuki G, Saito S, Ishii T, Motojima S, Tokuhashi Y, Ryu J. Previous fracture surgery is a major risk factor of infection after total knee arthroplasty. Knee Surg Sports Traumatol Arthrosc 2011;19(12):2040-4. https://doi.org/10.1007/s00167-011-1525-x
22. Civinini R, Carulli C, Matassi F, Villano M, Innocenti ML. Total knee arthroplasty after complex tibial plateau fractures. Chir Organi Mov 2009;93(3):143-7. https://doi.org/10.1007/s12306-009-0033-3
