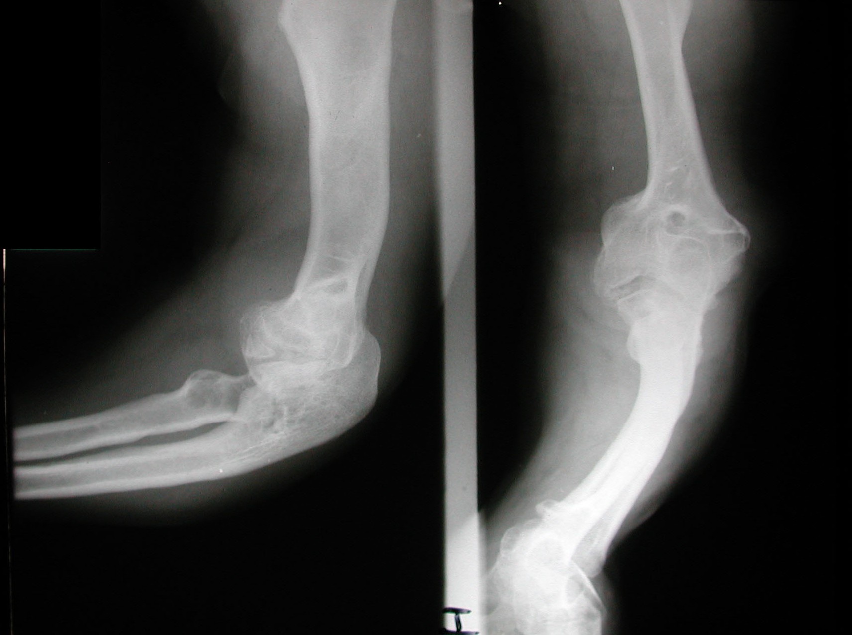
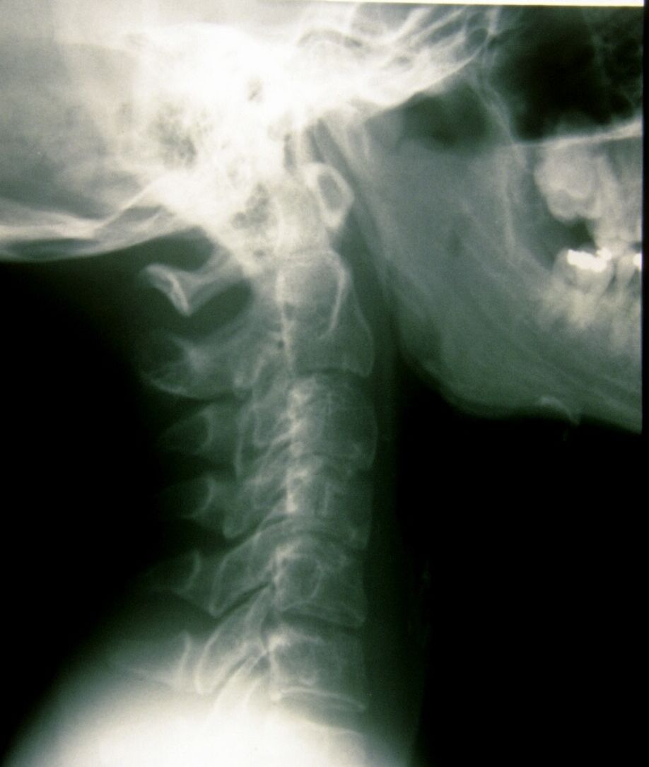
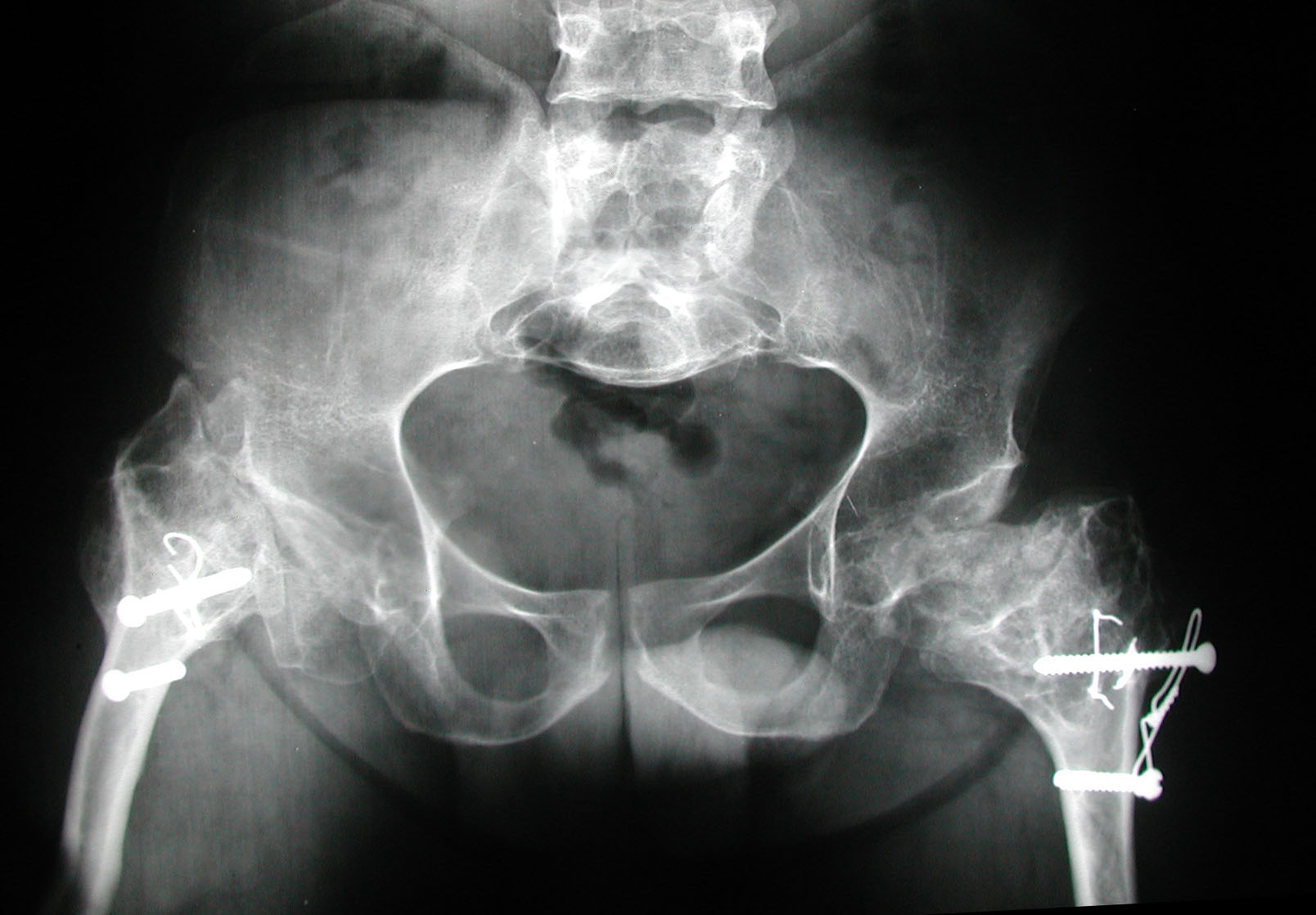
Seudoacondroplasia. [Pseudoachondroplasia]
Contenido principal del artículo
Descargas
Métricas
Detalles del artículo

Esta obra está bajo licencia internacional Creative Commons Reconocimiento-NoComercial-CompartirIgual 4.0.
La aceptación del manuscrito por parte de la revista implica la no presentación simultánea a otras revistas u órganos editoriales. La RAAOT se encuentra bajo la licencia Creative Commons 4.0. Atribución-NoComercial-CompartirIgual (http://creativecommons.org/licenses/by-nc-sa/4.0/deed.es). Se puede compartir, copiar, distribuir, alterar, transformar, generar una obra derivada, ejecutar y comunicar públicamente la obra, siempre que: a) se cite la autoría y la fuente original de su publicación (revista, editorial y URL de la obra); b) no se usen para fines comerciales; c) se mantengan los mismos términos de la licencia.
En caso de que el manuscrito sea aprobado para su próxima publicación, los autores conservan los derechos de autor y cederán a la revista los derechos de la publicación, edición, reproducción, distribución, exhibición y comunicación a nivel nacional e internacional en las diferentes bases de datos, repositorios y portales.
Se deja constancia que el referido artículo es inédito y que no está en espera de impresión en alguna otra publicación nacional o extranjera.
Por la presente, acepta/n las modificaciones que sean necesarias, sugeridas en la revisión por los pares (referato), para adaptar el trabajo al estilo y modalidad de publicación de la Revista.
Citas
2000;66(4):407-8.
2. Beals RB, Horton W. Skeletal dysplasias: an approach to diagnosis. J Am Acad Orthop Surg 1995;3:174-1.
3. Herring JA. Tchadjian´s. Pediatric Orthopedic, 3rd ed. Philadelphia: Saunder; 2002:1523-5.
4. Crossan JF, Wynnes-Davies R, Fulfor GE. Bilateral failure of the capital femoral epiphysis: bilateral Perthes disease,
multiple epiphyseal dysplasia, pseudoachondroplasia, and spondyloepiphyseal dysplasia congenital and tarda. J Pediatric Orthop
1983;3(3):297-301.
5. Fizgerald R (h), Kaufer H, Malkani A. Ortopedia. Buenos Aires: Panamericana; 2004: 1416-8.
6. Wynne R, Fairbank TJ. Atlas de Enfermedades Generalizadas del Esqueleto, Salvat; 1982:55-61.
7. Sekundiak TD. Total hip arthroplasty in patients with dwarfism. Orthopedics 2005;28(9):1075-8.
8. Huo MH, Salvati EA, Liberman JR, Burstein AH, Wilson PD Jr. Custom-designed femoral prostheses in total hip arthroplasty
done with cement for severe dysplasia of the hip. J Bone Joint Surg Am 1993;75:1497-1504.
9. Osagie L, Figgie M, Bostrom M. Custom total hip arthroplasty in skeletal dysplasia. International Orthopedic 2012;36:527-1.
10. Chiavetta JB, Parvizi J, Shaughnessy WJ, Cabanela ME. Total hip arthroplasty in patients with dwarfism. J Bone Joint Surg
Am 2004;86:298-303.
11. Ain MC, Andres BM, Somel DS, Fishkin Z, Frassica FJ. Total hip arthroplasty in skeletal dysplasias. Patients selection,
preoperative planning, and operative techniques. J Arthroplasty 2004;19(1):1-7.
