Percutaneous volar locked plate fixation in metaphyseal fractures distal radius: Technical description and preliminary results

Main Article Content

Natalia del Milagro Gutierrez Olivera
Luis Ruchelli
Leandro Salcedo Zunino
Alberto Javier Jabif
Christian Antonio Allende Nores

Abstract

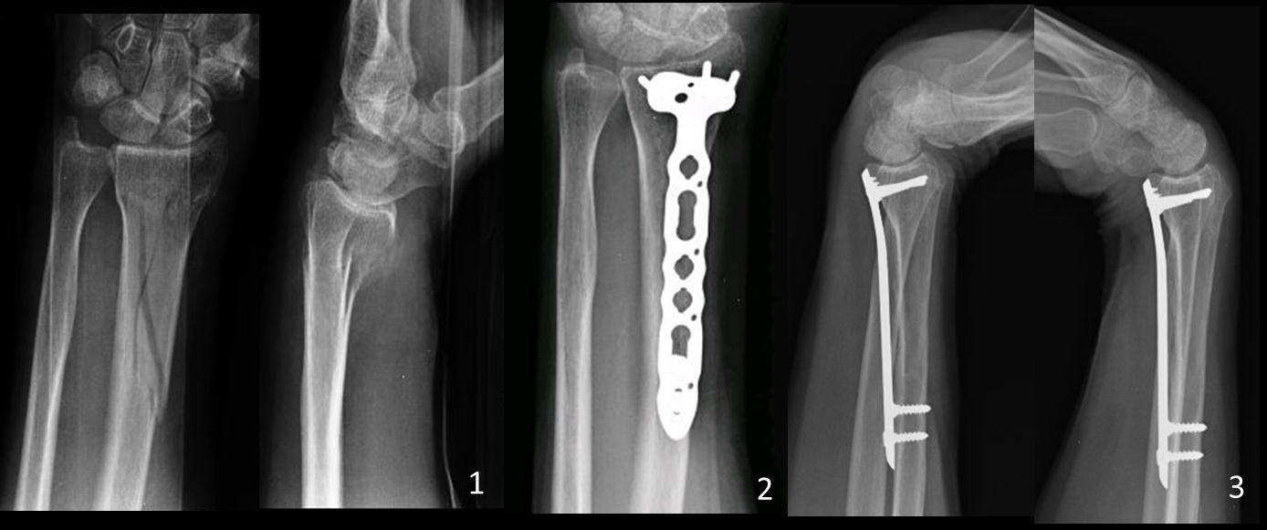
Introduction: Purpose:To evaluate objective and subjective outcomes after closed reduction and minimally invasive volar locked T plate osteosynthesis for distal radius fractures with metaphyseal involvement.MethodsWe retrospectively evaluated six patients treated by minimally invasive volar locked T plate osteosynthesis for unstable extra-articular or partial articular distal radius fractures with metaphyseal involvement between 2007-2012. Age averaged 40, 6 years. All were closed fractures classified as type 23A3 (n: 5) and 23B1 (n: 1) according to the AO/OTA system.  Indirect reduction was performed. Two volar small incisions were made; a volar locked compression T plate was introduced in the sub-muscular plane, under radioscopic guidance. Analysis included radiological parameters (volar angulation, radial inclination, and radial height); range of motion and strength. Subjective results were assessed using DASH Score and Visual Analogue Scale.ResultsAll fractures healed within 2, 3 months. Radiographic outcomes showed no difference between the first postoperative control and the last Rx at one year of follow up. Flexion and extension averaged 70° and 60°, pronation and supination 79° and 80°. Grip Strength 78, 4%. DASH Score 19, 84 and VAS 1, 5 points.ConclusionsMinimally Invasive technique decrease surgical injury and complications (infections and re fractures). It is an option in patients with metaphyseal comminution severe soft tissue injuries and high energy trauma. Small incisions away from the fracture site preserve soft tissues, bone biology and improve healing. Percutaneous volar LCP allows obtaining stable fixation and restoring distal radius anatomy in radius fractures with metaphyseal involvement. It is technically demanding procedure. The most common problem is bone misalignment.

Downloads

Download data is not yet available.

Metrics

Metrics Loading ...

Article Details

How to Cite
Gutierrez Olivera, N. del M., Ruchelli, L., Salcedo Zunino, L., Jabif, A. J., & Allende Nores, C. A. (2016). Percutaneous volar locked plate fixation in metaphyseal fractures distal radius: Technical description and preliminary results. Revista De La Asociación Argentina De Ortopedia Y Traumatología, 81(2), 76-83. https://doi.org/10.15417/290
Section
Clinical Research
Author Biographies

Natalia del Milagro Gutierrez Olivera, Instituto Allende de Cirugía Reconstructiva de los Miembros Servicio de Traumatología y Ortopedia Sanatorio Allende Córdoba

Residente de 3° añoInstituto Allende de Cirugía Reconstructiva de los Miembros Servicio de Traumatología y Ortopedia

Luis Ruchelli, Instituto Allende de Cirugía Reconstructiva de los Miembros Servicio de Traumatología y Ortopedia Sanatorio Allende Córdoba

Residente 2° añoInstituto Allende de Cirugía Reconstructiva de los Miembros Servicio de Traumatología y Ortopedia

Leandro Salcedo Zunino, Instituto Allende de Cirugía Reconstructiva de los Miembros Servicio de Traumatología y Ortopedia Sanatorio Allende Córdoba

Residente de 2° añoInstituto Allende de Cirugía Reconstructiva de los Miembros Servicio de Traumatología y Ortopedia

Alberto Javier Jabif, Instituto Allende de Cirugía Reconstructiva de los Miembros Servicio de Traumatología y Ortopedia Sanatorio Allende Córdoba

Residente de 1° añoInstituto Allende de Cirugía Reconstructiva de los Miembros Servicio de Traumatología y Ortopedia

Christian Antonio Allende Nores, Instituto Allende Departamento de Miembro Superior y Cirugía Reconstructiva de los Miembros, Servicio de Ortopedia y Traumatología, Sanatorio Allende Córdoba

Doctor en medicina Especialista en Ortopedia y Traumatología Especialista en Miembro SuperiorInstituto Allende, Departamento de Miembro Superior y Cirugía Reconstructiva de los Miembros,Servicio de Ortopedia y Traumatología, Sanatorio Allende Córdoba

References

1- Allende C, Catá E, Catá JP, Fattor E, Lugones A. Fracturas inestables extra articulares del radio distal. Clavijas percutáneas de Kirschner (Kapandji) o placas bloqueadas volares. Rev Asoc Argent Ortop Traumatol. 2011; 76: 5 -13.

2- Matschke S, Marent-Huber M, Audigé L, Wentzensen A; LCP Study Group. The surgical treatment of unstable distal radius fractures by angle stable implants: a multicenter prospective study. J Orthop Trauma. 2011 May; 25(5):312-7.

3- Chen N, Jupiter J. Management of distal radial fractures. J Bone Joint Surg Am. 2007; 89: 2051-62.

4- Heim U, Pfeiffer K.M. Internal fixation of small fractures, 3rd ed. Berlin, Springer, Verlag, 1987.

5- Imatani J, Noda T, Morito Y, Sato T, Hashizume H, Inoue H. Minimally invasive plate osteosynthesis for comminuted fractures of the metaphysis of the radius. J Hand Surg Br. 2005 May; 30(2):220-5.

6- Krettek C, Schandelmaier P, Miclau T, Tscherne H: Minimally invasive percutaneous plate osteosynthesis (MIPPO) using the DCS in proximal and distal femoral fractures. Injury 1997; 28(suppl. 1): S-A20–S-A30.

7- Krettek C, Müller M, Miclau T: Evolution of minimally invasive plate osteosynthesis (MIPO) in the femur. Injury. 2001; 32(Suppl 3): SC14-SC23.

8- Collinge CA, Sanders RW. Percutaneous plating in the lower extremity. J Am Acad Orthop Surg. 2000 Jul-Aug; 8(4):211-6.

9- Perren SM: Evolution of the internal fixation of long bone fractures: The scientific basis of biological internal fixation. Choosing a new balance between stability and biology. J Bone Joint Surg Br. 2002; 84:1093-1110.

10- Ji F, Tong D, Tang H, et al. Minimally invasive percutaneous plate osteosynthesis (MIPPO) technique applied in the treatment of humeral shaft distal fractures through a lateral approach. Int Orthop. 2009; 33: 543–547.

11- Rancan M, Dietrich M, Lamdark T, Can U, Platz A. Minimal invasive long PHILOS®-plate osteosynthesis in metadiaphyseal fractures of the proximal humerus. Injury. 2010 Dec; 41(12):1277-83.

12- Apivatthakakul T, Patiyasikan S, Luevitoonvechkit S. Danger zone for locking screw placement in minimally invasive plate osteosynthesis (MIPO) of humeral shaft fractures: a cadaveric study. Injury. 2010; 41:169–172.

13- Tan JC, Kagda FH, Murphy D, Thambiah JS, Khong KS. Minimally invasive helical plating for shaft of humerus fractures: technique and outcome. Open Orthop J. 2012; 6:184-8.

14- Shin SJ, Sohn HS, Do NH. Minimally invasive plate osteosynthesis of humeral shaft fractures: a technique to aid fracture reduction and minimize complications. J Orthop Trauma. 2012 Oct; 26(10):585-9.

15- Sen MK, Strauss N, Harvey EJ. Minimally invasive plate osteosynthesis of distal radius fractures using a pronator sparing approach. Tech Hand Up Extrem Surg. 2008 Mar; 12(1):2-6.

16- Zenke Y, Sakai A, Oshige T, Moritani S, Fuse Y, Maehara T, Nakamura T. Clinical results of volar locking plate for distal radius fractures: conventional versus minimally invasive plate osteosynthesis. J Orthop Trauma. 2011 Jul; 25(7):425-31.

17- Allende C, Marangoni L, Gastaudo M, Pioli I, Gastaudo M, Paganini F. Placas volares de ángulo fijo en pacientes adultos con fracturas inestables del radio distal. Rev Asoc Argent Ortop Traumatol. 2007; 72: 110-7.

18- Kennedy CA, Beaton DE, Solway S, McConnell S, Bombardier C. Disabilities of the Arm, Shoulder and Hand (DASH). The DASH and QuickDASH Outcome Measure User’s Manual, Third Edition. Toronto, Ontario: Institute for Work & Health, 2011.

19- Downie Wn, et al. Studies with pain rating scales. Ann Rheum Dis 1979; 37: 378-81.

20- Farouk O, Krettek C, Miclau T, Schandelmaier P, Guy P, Tscherne H: Minimally invasive plate osteosynthesis: Does percutaneous plating disrupt femoral blood supply less than the traditional technique? J Orthop Trauma. 1999; 13:401-406.

21- Keast-Butler O, Schemitsch EH. Biology versus mechanics in the treatment of distal radial fractures. J Orthop Trauma. 2008 Sep; 22(8 Suppl):S91-5.

22- Rampoldi M, Palombi D, Tagliente D. Distal radius fractures with diaphyseal involvement: fixation with fixed angle volar plate. J Orthop Traumatol. 2011 Sep; 12 (3):137-43.

23- Lee SK, Seo DW, Kim KJ, Yang DS, Choy WS. Volar long locking compression plate fixation for distal radius fractures with metaphyseal and diaphyseal extension. Eur J Orthop Surg Traumatol. 2013 May; 23(4):407-15.