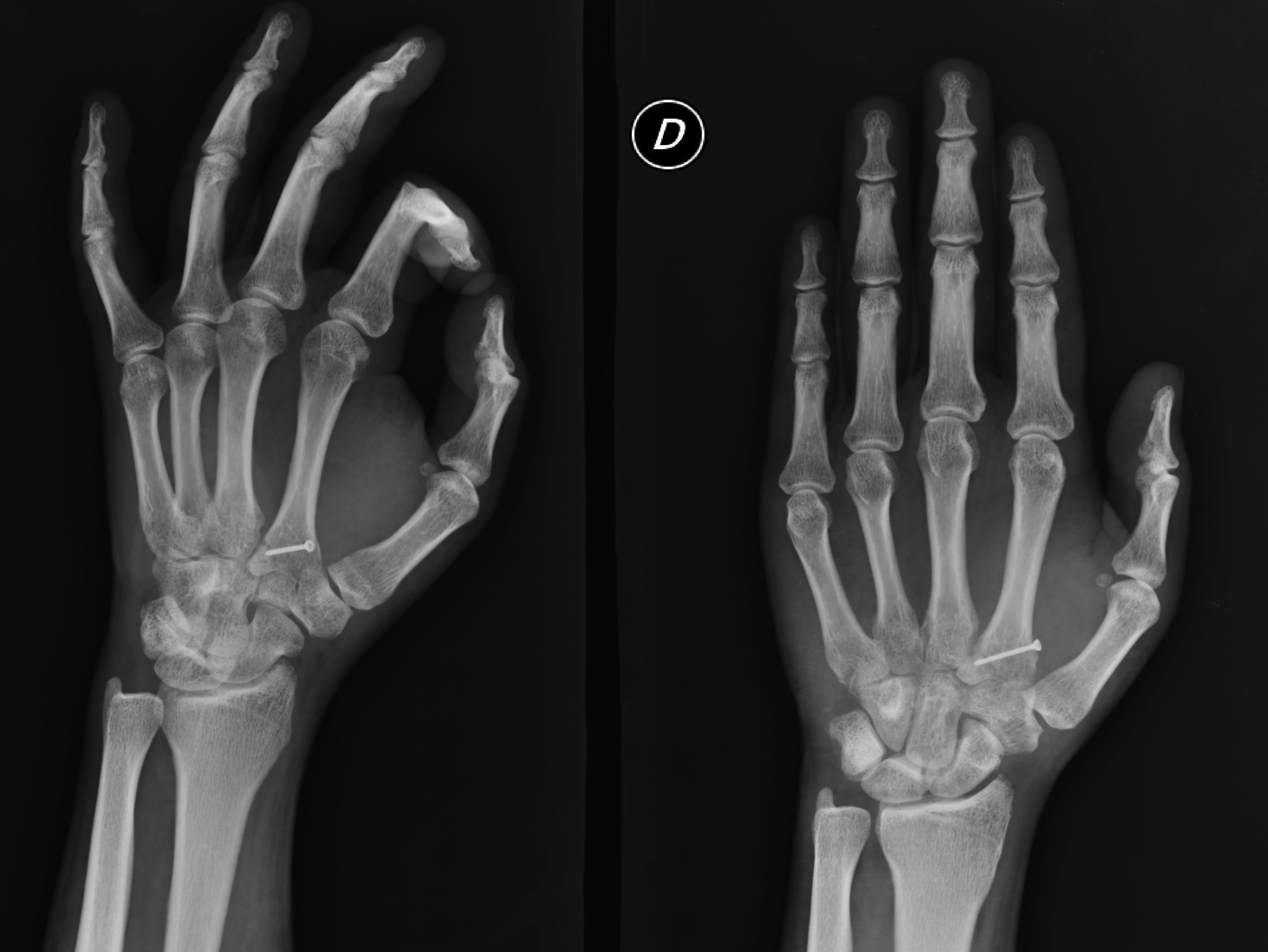
Fractura del cóndilo cubital de la base del 2do metacarpiano con desplazamiento a palmar. Presentación de un caso
Main Article Content
Downloads
Metrics
Article Details

This work is licensed under a Creative Commons Attribution-NonCommercial-ShareAlike 4.0 International License.
Manuscript acceptance by the Journal implies the simultaneous non-submission to any other journal or publishing house. The RAAOT is under the Licencia Creative Commnos Atribución-NoComercial-Compartir Obras Derivadas Igual 4.0 Internacional (CC-BY-NC.SA 4.0) (http://creativecommons.org/licences/by-nc-sa/4.0/deed.es). Articles can be shared, copied, distributed, modified, altered, transformed into a derivative work, executed and publicly communicated, provided a) the authors and the original publication (Journal, Publisher and URL) are mentioned, b) they are not used for commercial purposes, c) the same terms of the license are maintained.
In the event that the manuscript is approved for its next publication, the authors retain the copyright and will assign to the journal the rights of publication, edition, reproduction, distribution, exhibition and communication at a national and international level in the different databases. data, repositories and portals.
It is hereby stated that the mentioned manuscript has not been published and that it is not being printed in any other national or foreign journal.
The authors hereby accept the necessary modifications, suggested by the reviewers, in order to adapt the manuscript to the style and publication rules of this Journal.
References
2. Hodgson P, Sherwrin DJ. The metacarpal cascade lines; use in the diagnosis of dislocations of the carpometacarpal joints. J Hand Surg Eur 2007;32(3):277-81.
3. Lewis HL. Dislocation of the second metacarpal. Clin Orthop Relat Res 1973(93):253-55.
4. Thomas WO, Gottliebson WM, Amore TF, Harris CN, Parry SW. Isolated palmar displaced fracture of the base of the index metacarpal: a case report. J Hand Surg Am 1994;19(3):455-6.
5. Takami H, Takahashi S, Ando M. Isolated volar displaced fracture of the ulnar condyle at the base of the index metacarpal: A case report. J Hand Surg Am 1997;22(6):1064-6.
6. Shyamsundar S. Avulsion fracture of the extensor carpi radialis longus tendon: case report and literatura review. Hand Surg 2012;17(02):247-9.
7. Crichlow TPT, Hoskinson JJ. Avulsion fracture of the index metacarpal base: three case reports. J Hand Surg Br 1988;13(2):212-4.
8. Treble N, Arif S. Avulsion fracture of the index metacarpal. J Hand Surg Br 1987;12(1):38-9.
9. Myerthall SL, Graham B. Osteonecrosis of the base of the second metacarpal: a case report. J Hand Surg 1999;24(4):853-5.
