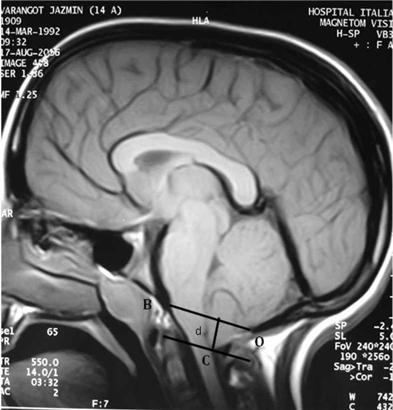
Análisis con resonancia magnética de la posición de la amígdala cerebelosa antes de la corrección instrumentada por vía posterior y después de ella en pacientes con escoliosis idiopática del adolescente. [Magnetic resonance imaging evaluation of the position of the cerebellar tonsil before and after posterior spinal fusion in adolescent idiopathic scoliosis].
Contenido principal del artículo
Resumen
Descargas
Métricas
Detalles del artículo

Esta obra está bajo licencia internacional Creative Commons Reconocimiento-NoComercial-CompartirIgual 4.0.
La aceptación del manuscrito por parte de la revista implica la no presentación simultánea a otras revistas u órganos editoriales. La RAAOT se encuentra bajo la licencia Creative Commons 4.0. Atribución-NoComercial-CompartirIgual (http://creativecommons.org/licenses/by-nc-sa/4.0/deed.es). Se puede compartir, copiar, distribuir, alterar, transformar, generar una obra derivada, ejecutar y comunicar públicamente la obra, siempre que: a) se cite la autoría y la fuente original de su publicación (revista, editorial y URL de la obra); b) no se usen para fines comerciales; c) se mantengan los mismos términos de la licencia.
En caso de que el manuscrito sea aprobado para su próxima publicación, los autores conservan los derechos de autor y cederán a la revista los derechos de la publicación, edición, reproducción, distribución, exhibición y comunicación a nivel nacional e internacional en las diferentes bases de datos, repositorios y portales.
Se deja constancia que el referido artículo es inédito y que no está en espera de impresión en alguna otra publicación nacional o extranjera.
Por la presente, acepta/n las modificaciones que sean necesarias, sugeridas en la revisión por los pares (referato), para adaptar el trabajo al estilo y modalidad de publicación de la Revista.
Citas
2. Eule J, Erickson M, O'Brien M, Handler M. Chiari I Malformation Associated with Syringomyelia and Scoliosis: A Twenty-Year Review of Surgical and Nonsurgical Treatment in a Pediatric Population. Spine 2002;27(13):1451-1455.
3. Aboulezz AO, Sartor K, Geyer CA, et al. Position of cerebellar tonsils in normal population and in patients with Chiari malformation: a quantitative approach with MR imaging. J Comput Assist Tomogr 1985;9:1033–6.
4. Barkovich AJ, Wippold FJ, Sherman JL, et al. Significance of cerebellar tonsilar position on MR. AJNR Am J Neuroradiol 1986;7:795–9.
5. Ghanem IB, Lodono C, Delalande O, et al. Chiari I malformation associated with syringomyelia and scoliosis. Spine 1997;22:1313–8.
6. Dyste GN, Menezes AH. Presentations and management of pediatric Chiara malformations without myelodysplasia. Neurosurgery 1988;23:589–97.
7. Brockmeyer D, Gollogly S, Smith J. Scoliosis associated with Chiari I malformation: the effect of suboccipital decompression on scoliosis curve progression. A preliminary study. Spine 2003;28(22):2505-2509.
8. Lenke L, Betz R, Harms J, et al. Adolescent idiopathic scoliosis: a new classification to determinate extent of spinal arthrodesis. J Bone Joint Surge Am 2001;83A:1169-81
9. Inoue M, Minami S, Nakata Y, et al. Preoperative MRI analysis of patients with idipathic Scoliosis. A prospective study. Spine 2004;30(1):108-114.
10. Cheng JCY, Guo X, Sher AH, et al. Correlation between curve severity, somatosensory evoked potentials, and magnetic resonance imaging in adolescent idiopathic scoliosis. Spine 1999;24:1679–84.
11. Porter RW, Hall-Craggs M, Walker AE, et al. The position of the cerebellar tonsils and the conus in patients with scoliosis. J Bone Joint Surg Br 2000;82(suppl 3):286 –7.
12. Spiegel DA, Flynn JM, Stasikelis PJ, et al. Scoliotic curve patterns in patients with Chiari I malformation and/ or syringomyelia. Spine 2003;28:2139 – 46.
13. Cheng JC, Chau WW, Guo X, et al. Redefining the magnetic resonance imaging reference level for the cerebellar tonsil: a study of 170 adolescents with normal versus idiopathic scoliosis. Spine 2003;28:815–8.
14. Sun X, Qiu Y, Zhu Z, Zhu F, et al. Variation of the position of the cerebellar tonsil in idiopathic scoliosis with Cobb angle > 40º. A magnetic resonance imaging study. Spine 2007;32(15):1680-1686.
