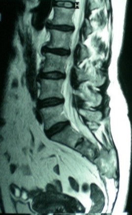
Partial sacrectomy by single posterior approach.
Main Article Content
Abstract
Downloads
Metrics
Article Details

This work is licensed under a Creative Commons Attribution-NonCommercial-ShareAlike 4.0 International License.
Manuscript acceptance by the Journal implies the simultaneous non-submission to any other journal or publishing house. The RAAOT is under the Licencia Creative Commnos Atribución-NoComercial-Compartir Obras Derivadas Igual 4.0 Internacional (CC-BY-NC.SA 4.0) (http://creativecommons.org/licences/by-nc-sa/4.0/deed.es). Articles can be shared, copied, distributed, modified, altered, transformed into a derivative work, executed and publicly communicated, provided a) the authors and the original publication (Journal, Publisher and URL) are mentioned, b) they are not used for commercial purposes, c) the same terms of the license are maintained.
In the event that the manuscript is approved for its next publication, the authors retain the copyright and will assign to the journal the rights of publication, edition, reproduction, distribution, exhibition and communication at a national and international level in the different databases. data, repositories and portals.
It is hereby stated that the mentioned manuscript has not been published and that it is not being printed in any other national or foreign journal.
The authors hereby accept the necessary modifications, suggested by the reviewers, in order to adapt the manuscript to the style and publication rules of this Journal.
References
2- Sciubba DM, Chi JH, Rhines LD, et al. Chordoma of the spinal column. Neurosurg Clin N Am2008; 19:5–15. Review.
3- Kawai A, Healey JH, Boland PJ, et al. Prognostic factors for patients with sarcomas of the pelvic bones. Cancer1998; 82:851–9.
4- Park L, Delaney TF, Liebsch NJ, et al. Sacral chordomas: impact of high-dose proton/photon-beam radiation therapy combined with or without surgery for primary versus recurrent tumor. Int J Radiat Oncol Biol Phys2006; 65:1514–21.
5- McLoughlin GS, Sciubba DM, Wolinsky JP. Chondroma/Chondrosarcoma of the spine. Neurosurg Clin NAm2008; 19:57–63.
6- Angelini and Ruggieri. New Surgical Technique of Sacral Resection. SPINE Volume 38, Number 3, pp E185–E192.
7- Fourney DR, Gokaslan ZL: Surgical approaches for the resection of sacral tumors, in Dickman CA, Fehlings MG, Gokaslan ZL (eds): Spinal Cord and Spinal Column Tumors: Principles and Practice. New York: Thieme, 2006, pp 632–648
8- Tokuhashi Y, Matsuzaki H, Oda H, Oshima M, Ryu J: A revised scoring system for preoperative evaluation of metastatic spine tumor prognosis. Spine 30:2186–2191, 2005 103.
9- Tokuhashi Y, Matsuzaki H, Toriyama S, Kawano H, Ohsaka S: Scoring system for the preoperative evaluation of metastatic spine tumor prognosis. Spine 15:1110–1113, 1990 104.
10- Tomita K, Kawahara N, Kobayashi T, Yoshida A, Murakami H, Akamaru T: Surgical strategy for spinal metastases. Spine 26:298–306, 2001.
11- FourneyDR, GokaslanZL. Current management of sacral chordoma. Neurosurg Focus2003; 15: E9. Review.
12- RuggieriP, AngeliniA, UssiaG, et al. Surgical margins and local control in resection of sacral chordomas. Clin Orthop Relat Res 2010; 468:2939–47.
13- Sabuncuoglu H, et al: Total Resection of Inferiorly Located Sacral Chordoma. Turkish Neurosurgery 2010, Vol: 20, No: 4, 527-532.
14- Kattapuram SV, Khurana JS, Rosenthal DI: Percutaneous needle biopsy of the spine. Spine 17:561–564, 1992.
15- Angelini and Ruggieri. New Surgical Technique of Sacral Resection. SPINE Volume 38, Number 3, pp E185–E192.
16- Asavamongkolku, Waikakul Wide resection of sacral chordoma via a posterior approach. International Orthopaedics (SICOT) (2012) 36:607–612
17- Gallia GL, Haque R, Garoznik I, Witham TF, Khavkin YA, Wolinsky JP, Suk I, Gokaslan ZL: Spinal pelvic reconstruction after total sacrectomy for en bloc resection of a giant sacral chordoma: Technical note. J Neurosurg Spine 3:501–506, 2005.
18- Dasen Li, Wei Guo, Xiaodong Tang, Tao Ji, Yidan Zhang. Surgical classification of different types of en bloc resection for primary malignant sacral tumors. EurSpine J (2011) 20:2275–2281.
19- Stener B and Gunterberg B: High amputation of the sacrum for extirpation of tumors: Principles and techniques. Spine 3: 351- 366, 1978.
20- Rajiv Saigal, M.D., Ph.D., Daniel C. lu. Conversion of high sacral to midsacral amputation via S-2 nerve preservation during partial S-2 sacrectomy for cordoma. J Neurosurg Spine 20:421–429, 2014.
21- Sciubba, M.D., Clarke Nelson, Evaluation of factors associated with postoperative infection following sacral tumor resection. J Neurosurg Spine 9:593–599, 2008.
