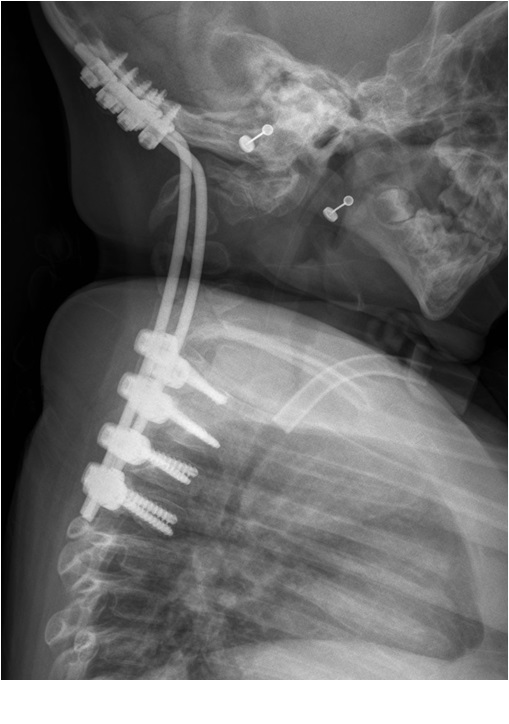
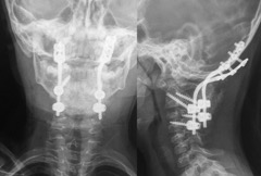
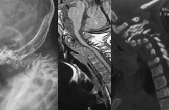
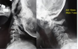
Instrumentación cervical en pacientes menores de 10 años. [Cervical Instrumentation and Fusion in Children Under 10 Years Old.]
Contenido principal del artículo
Resumen
Descargas
Métricas
Detalles del artículo

Esta obra está bajo licencia internacional Creative Commons Reconocimiento-NoComercial-CompartirIgual 4.0.
La aceptación del manuscrito por parte de la revista implica la no presentación simultánea a otras revistas u órganos editoriales. La RAAOT se encuentra bajo la licencia Creative Commons 4.0. Atribución-NoComercial-CompartirIgual (http://creativecommons.org/licenses/by-nc-sa/4.0/deed.es). Se puede compartir, copiar, distribuir, alterar, transformar, generar una obra derivada, ejecutar y comunicar públicamente la obra, siempre que: a) se cite la autoría y la fuente original de su publicación (revista, editorial y URL de la obra); b) no se usen para fines comerciales; c) se mantengan los mismos términos de la licencia.
En caso de que el manuscrito sea aprobado para su próxima publicación, los autores conservan los derechos de autor y cederán a la revista los derechos de la publicación, edición, reproducción, distribución, exhibición y comunicación a nivel nacional e internacional en las diferentes bases de datos, repositorios y portales.
Se deja constancia que el referido artículo es inédito y que no está en espera de impresión en alguna otra publicación nacional o extranjera.
Por la presente, acepta/n las modificaciones que sean necesarias, sugeridas en la revisión por los pares (referato), para adaptar el trabajo al estilo y modalidad de publicación de la Revista.
Citas
2. Leonard J, Wright N (2006) Pediatric atlantoaxial fixation with bilateral, crossing C-2 translaminar screws. Technical note. J Neurosurg 104:59–63
3. Jea A, Taylor, Dirks PB, Kulkarni AV, Rutka JT, Drake JM. Incorporation of C-1 lateral mass screws in occipitocervical and atlantoaxial fusions for children 8 years of age or younger. Technical note. J Neurosurg 107:178–183
4. Schmidt, R., Koller H., Wilke H., Brade J., Zenner J., Meier O. M. The Impact of Cervical Pedicle Screws for Primary Stability in Multilevel Posterior Cervical Stabilizations. Spine 2010;35:E1167–E1171
5. Dickman CA, Sonntag VK, Papadopoulos SM, Hadley MN (1991) The interspinous method of posterior atlantoaxial arthrodesis. J Neurosurg 74:190–198.
6. Gallie WE (1937) Skeletal traction in the treatment of fractures and dislocations of the cervical spine. Ann Surg 106:770–776
7. Hedequist D., Hresko T., Proctor M. Modern Cervical Spine Instrumentation in Children Spine.2008;33:379–383
8. Prakash S., William G. M., S. A. Sah., Mihir T., Colleen D., Laurens H., J. Campbell, MD. Occipitocervical Fusion in Skeletal Dysplasia. Spine 2014;39:E912–E918.
9. Michael C. Ain, MD, Kaisorn L. Chaichana, BS, and Joshua G. Schkrohowsky, BS. Retrospective Study of Cervical Arthrodesis in Patients With Various Types of Skeletal Dysplasia. Spine 2006;31:E169–E174
10. Ryoji Tauchi • Shiro Imagama • Zenya Ito • Kei Ando • Kenichi Hirano • Akio Muramoto. Complications and outcomes of posterior fusion in children with atlantoaxial instability. Eur Spine J (2012) 21:1346–1352
11. Doyle, J. Scott MD; Lauerman, William C. MD; Wood, Kirkham B. MD; Krause, David R. Complications and Long-Term Outcome of Upper Cervical Spine Arthrodesis in Patients With Down Syndrome. Spine Volume 21(10), 15 May 1996, p 1223–1231
12. Rishimugesh Kanna P, Ajoy Prasad Shetty, Rajasekaran S. Anatomical Feasibility of Pediatric Cervical Pedicle Screw Insertion by Computed Tomographic Morphometric Evaluation of 376 Pediatric Cervical Pedicles. Spine 2011 ; 36 : 1297 – 1304
13. Ferri-de-Barros F., Little D. G., Bridge C., Cummine J, Cree K. A. Atlantoaxial and Craniocervical Arthrodesis in Children. A Tomographic Study Comparing Suitability of C2 Pedicles and C2 Laminae for Screw Fixation. Spine 2010;35:291–293
14. Abdullah K.G., Steinmetz M. P., Mroz T. E. Morphometric and Volumetric Analysis of the Lateral Masses of the Lower Cervical Spine. Spine 2009;34:1476–1479
15. Jeanneret B, Magerl F (1992) Primary posterior fusion C1/2 in odontoid fractures: indications, technique, and results of transarticular screw fixation. J Spinal Disord 5:464–475
16. Roy-Camille R., Saillant G., Laville C. Treatment of lower cervical spinal injuries—C3 to C7. Spine 1992. 17(10 Suppl):S442–S446
17. Heller JG, Carlson GD, Abitbol JJ. Anatomic comparison of the Roy-Camille and Magerl techniques for screw placement in the lower cervical spine. Spine 1991. 16(10 Suppl):S552–S557
18. Grob D, Crisco JJ III, Panjabi MM, et al. Biomechanical evaluation of four different posterior atlantoaxial fixation techniques. Spine 1992;17:480–90.
19. Brockmeyer DL, York JE, Apfelbaum RI (2000) Anatomical suitability of C1–2 transarticular screw placement in pediatric patients. J Neurosurg 92:7–11
20. Heuer GG, Hardesty DA, Bhowmick DA, Bailey R, Magge SN, Storm PB (2009) Treatment of pediatric atlantoaxial instabilitywith traditional and modified Goel-Harms fusion constructs. Eur. Spine J. 2009, 18:884–892
