Descompresión medular mediante abordaje lateral transtorácico mínimamente invasivo. Reporte de un caso. [Spinal cord decompression by minimally invasive transthoracic lateral approach. Case report]
Contenido principal del artículo
Resumen
Los abordajes laterales mínimamente invasivos son técnicas válidas para tratar patologías compresivas de la columna torácica, con bajas tasas de morbimortalidad y una rápida recuperación.
Abstract
There are multiple techniques for spinal cord decompression in the thoracic spine, each with its advantages and disadvantages, and requiring different surgical skills. Recently, minimally invasive techniques have been developed, reducing morbidity rates and achieving good functional results.
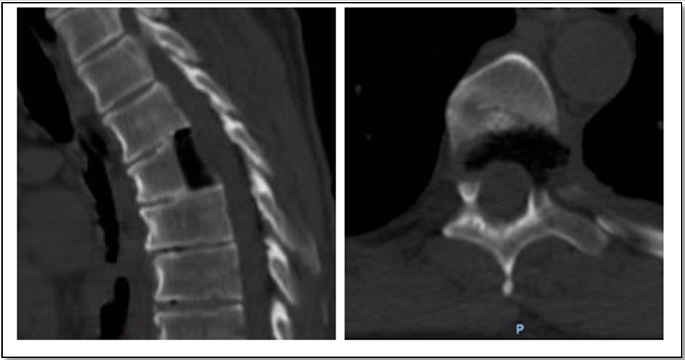
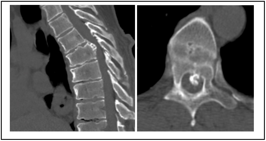
We present the case of a 64-year-old male with spinal compression symptoms, central disc herniation calcified at the fifth thoracic vertebra, which migrated to the lower end of the sixth thoracic vertebra. Diagnosis was clear for spinal cord compression. Partial posterior corpectomy of the sixth vertebra was performed with a minimally invasive transthoracic transpleural lateral approach and without additional fixation. The patient had a good outcome on follow-up, without progression of neurological symptoms or residual rib pain.
Minimally invasive lateral approaches are valid techniques for the treatment of compression disorders of the thoracic spine, with low rates of morbidity and mortality, and a rapid recovery.
Descargas
Métricas
Detalles del artículo

Esta obra está bajo licencia internacional Creative Commons Reconocimiento-NoComercial-CompartirIgual 4.0.
La aceptación del manuscrito por parte de la revista implica la no presentación simultánea a otras revistas u órganos editoriales. La RAAOT se encuentra bajo la licencia Creative Commons 4.0. Atribución-NoComercial-CompartirIgual (http://creativecommons.org/licenses/by-nc-sa/4.0/deed.es). Se puede compartir, copiar, distribuir, alterar, transformar, generar una obra derivada, ejecutar y comunicar públicamente la obra, siempre que: a) se cite la autoría y la fuente original de su publicación (revista, editorial y URL de la obra); b) no se usen para fines comerciales; c) se mantengan los mismos términos de la licencia.
En caso de que el manuscrito sea aprobado para su próxima publicación, los autores conservan los derechos de autor y cederán a la revista los derechos de la publicación, edición, reproducción, distribución, exhibición y comunicación a nivel nacional e internacional en las diferentes bases de datos, repositorios y portales.
Se deja constancia que el referido artículo es inédito y que no está en espera de impresión en alguna otra publicación nacional o extranjera.
Por la presente, acepta/n las modificaciones que sean necesarias, sugeridas en la revisión por los pares (referato), para adaptar el trabajo al estilo y modalidad de publicación de la Revista.
Citas
2. Arseni C, Nash F. Thoracic intervertebral disc protrusion: a clinical study. J Neurosurg 1960;17:418-30.
DOI: 10.3171/jns.1960.17.3.0418
3. Hulme A. The surgical approach to thoracic intervertebral disc protrusions. J Neurosurg Psychiatry 1960;23:133-7. Doi: 10.1136/jnnp.23.2.133
4. Le roux PD, Haglund MM, Harris AB. Thoracic disc disease: experience with the transpedicular approach in twenty
consecutive patients. Neurosurgery 1993;33:58-66. DOI:10.1097/00006123-199307000-00009
5. Perot Jr PL, Munro DD. Transthoracic removal of midline thoracic disc protrusions causing spinal cord compression. J Neurosurg 1969;31:452-8. DOI:10.3171/jns.1969.31.4.0452
6. Rosenthal D, Rosenthal R, de Simone A. Removal of a protruded thoracic disc using microsurgical endoscopy. A new technique. Spine 1994;19(9):1087-91. DOI: 10.1097/00007632-199405000-00018
7. Dakwar E, Ahmadian A, Uribe JS. The anatomical relationship of the diaphragm to the thoracolumbar junction during the minimally invasive lateral extracelomic (retropleural/retroperitoneal) approach. J Neurosurg Spine 2012;16:359-64.
DOI: 10.3171/2011.12.SPINE11626
8. Uribe JS, Smith WD, Pimenta L, Hartl R, Dakwar E, Modhia UM. Minimally invasive lateral approach for symptomatic thoracic disc herniation: initial multi-center clinical experience. J Neurosurg Spine 2012;16:264-79. DOI: 10.3171/2011.10.SPINE11291
9. Karmakar MK, Ho AM. Postthoracotomy pain syndrome. Thora Surg Clin 2004;14:345-52. DOI:10.1016/S1547-4127(04)00022-2
10. Hann PP, Kenny K, Dickman CA. Thoracoscopic approaches to the thoracic spine: experience with 241 surgical procedures. Neurosurgery 2002;52(Suppl 5):88-95. DOI:10.1097/00006123-200211002-00013
11. McAfee PC, Regan JR, Zdeblick T, Zuckerman J, Picetti GD 3rd, Heim S, et al. The incidence of complications in endoscopic anterior thoracolumbar spinal reconstructive surgery. A prospective multicenter study comprising the first 100 consecutive cases. Spine (Phila PA 1976) 1995;20:1624-32. DOI:10.1097/00007632-199507150-00012
12. Deviren V, Kuelling FA, Poulter G, Pekmezci M. Minimal invasive anterolateral transthoracic transpleural approach: a novel technique for thoracic disc herniation. A review of the literature, description of a new surgical technique and experience with first 12 consecutive patients. J Spinal Disord Tech 2011;24:E40-8.
DOI: 10.1097/BSD.0b013e318220af6f
13. Nacar OA, Ulu MO, Pekmezci M, Deviren V. Surgical treatment of thoracic disc disease via minimally invasive lateral transthoracic trans/retropleural approach: analysis of 33 patients. Neurosurg Rev 2013;36:455-65. DOI: 10.1007/s10143-013-0461-2
14. Uribe JS, Dakwar E, Le TV, Christian G, Serrano S, Smith WD. Minimally invasive surgery treatment for thoracic spine tumor removal: a mini-open, lateral approach. Spine 2010;35:S347-54. DOI: 10.1097/BRS.0b013e3182022d0f
15. White AA III, Panjabi MM. Clinical biomechanics of the spine, 2nd ed. Philadelphia: Lippincott, Williams & Wilkins; 1990. ISBN-10: 0397507208
