Total hip arthroplasty in a patient with ipsilateral transfemoral amputation
Main Article Content
Abstract
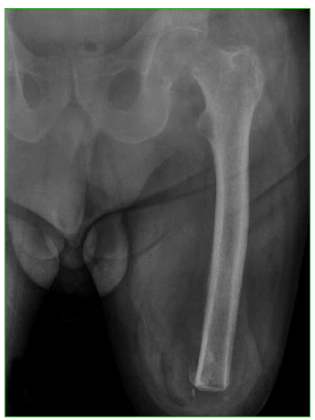
Hip fractures in patients with ipsilateral limb amputations are uncommon injuries that pose a challenge for orthopedic surgeons. In this article, we present our experience in the treatment of a 63-year man with left transfemoral amputation, who suffered a left femoral neck fracture after a fall from standing height. Proper placement of the prosthesis is essential to achieve good postoperative clinical outcomes. A Steinmann pin was inserted into the greater trochanter to facilitate exposure and component placement. No clinical or radiological complications were detected in a 15-month follow-up. We believe that the correct placement of a Steinmann pin is a good alternative that provides adequate control over the extremity when performing an arthroplasty, thus reducing the risks for prosthesis displacement and shortening the surgical time.
Downloads
Metrics
Article Details
Manuscript acceptance by the Journal implies the simultaneous non-submission to any other journal or publishing house. The RAAOT is under the Licencia Creative Commnos Atribución-NoComercial-Compartir Obras Derivadas Igual 4.0 Internacional (CC-BY-NC.SA 4.0) (http://creativecommons.org/licences/by-nc-sa/4.0/deed.es). Articles can be shared, copied, distributed, modified, altered, transformed into a derivative work, executed and publicly communicated, provided a) the authors and the original publication (Journal, Publisher and URL) are mentioned, b) they are not used for commercial purposes, c) the same terms of the license are maintained.
In the event that the manuscript is approved for its next publication, the authors retain the copyright and will assign to the journal the rights of publication, edition, reproduction, distribution, exhibition and communication at a national and international level in the different databases. data, repositories and portals.
It is hereby stated that the mentioned manuscript has not been published and that it is not being printed in any other national or foreign journal.
The authors hereby accept the necessary modifications, suggested by the reviewers, in order to adapt the manuscript to the style and publication rules of this Journal.
References
2. Masmoudi K, Rbai H, Fradj AB, Saâdena J, Boughattas A. Primary total hip replacement for a femoral neck fracture in a below-knee amputee. J Orthop Case Rep 2016;6(3):63-6. https://doi.org/10.13107/jocr.2250-0685.510
3. Pekmezci M, Nunley RM, Barrack RL. Technique for total hip arthroplasty in a patient with through-knee amputation. J Arthroplasty 2010;25(4):659.e1-3. https://doi.org/10.1016/j.arth.2009.03.011
4. Amanatullah DF, Trousdale RT, Sierra RH. Total hip arthroplasty after lower extremity amputation. Orthopedics 2015;38(5):e394-400. https://doi.org/10.3928/01477447-20150504-56
5. Nejat EJ, Meyer A, Sánchez PM, Schaefer SH, Westrich GH. Total hip arthroplasty and rehabilitation in ambulatory lower extremity amputees--a case series. Iowa Orthop J 2005;25:38-41. PMID: 16089069
6. Freitas A, Souto DRM, da Silva JF, Dantas BR, de Paula AP. Treatment of an acute fracture of the femoral neck in a young female adult with a transfemoral amputation: a case report. JBJS Case Connect 2015;5(3):e58. https://doi.org/10.2106/JBJS.CC.N.00119
7. Ma C, Lv Q, Yi C, Ma J, Zhu L. Ipsilateral total hip arthroplasty in patient with an above-knee amputee for femoral neck fracture: a case report. Int J Clin Exp Med 2015;8(2):2279-83. https://doi.org/1940-5901/IJCEM0004117
8. Varela-Egocheaga JR, Suárez-Suárez MA, Álvarez-Vega MA, Álvarez-Rico ME, Ferrero-Manzanal F, Montero-Díaz M, et al. Abordaje posterior vs lateral en artroplastia total de cadera. Estudio prospectivo, aleatorio y ciego. Revista Española de Cirugía Osteoarticular 2005;40(223):126-33. http://www.cirugia-osteoarticular.org/adaptingsystem/intercambio/revistas/articulos/161_126.pdf
