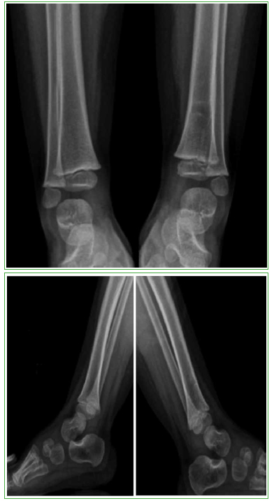
Osteomielitis de tibia secundaria a la vacuna BCG en un paciente pediátrico inmunocompetente. Reporte de un caso
Contenido principal del artículo
Resumen
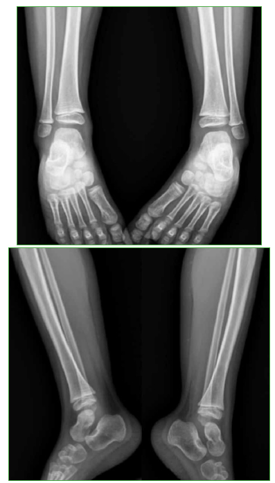
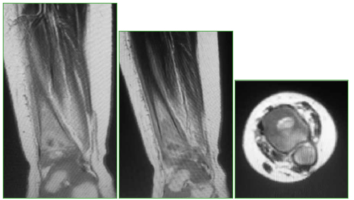
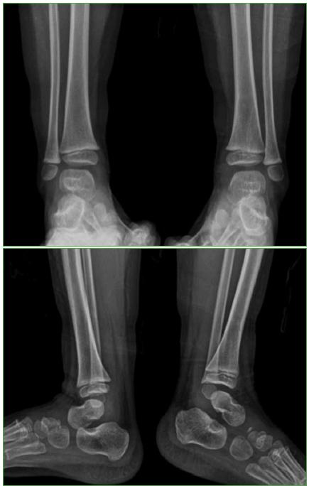
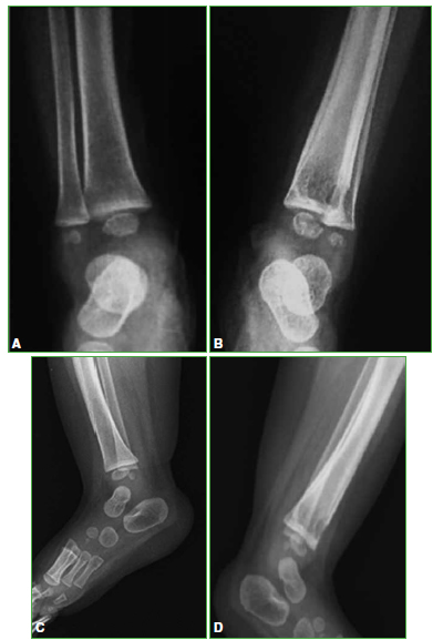
Conclusiones: El compromiso óseo secundario a la vacuna BCG en pacientes previamente sanos es muy raro. Es importante sospecharlo, para diagnosticarlo y administrar el tratamiento adecuado. Se obtuvieron buenos resultados administrando fármacos antituberculosos, sin necesidad de limpieza quirúrgica.
Descargas
Métricas
Detalles del artículo
La aceptación del manuscrito por parte de la revista implica la no presentación simultánea a otras revistas u órganos editoriales. La RAAOT se encuentra bajo la licencia Creative Commons 4.0. Atribución-NoComercial-CompartirIgual (http://creativecommons.org/licenses/by-nc-sa/4.0/deed.es). Se puede compartir, copiar, distribuir, alterar, transformar, generar una obra derivada, ejecutar y comunicar públicamente la obra, siempre que: a) se cite la autoría y la fuente original de su publicación (revista, editorial y URL de la obra); b) no se usen para fines comerciales; c) se mantengan los mismos términos de la licencia.
En caso de que el manuscrito sea aprobado para su próxima publicación, los autores conservan los derechos de autor y cederán a la revista los derechos de la publicación, edición, reproducción, distribución, exhibición y comunicación a nivel nacional e internacional en las diferentes bases de datos, repositorios y portales.
Se deja constancia que el referido artículo es inédito y que no está en espera de impresión en alguna otra publicación nacional o extranjera.
Por la presente, acepta/n las modificaciones que sean necesarias, sugeridas en la revisión por los pares (referato), para adaptar el trabajo al estilo y modalidad de publicación de la Revista.
Citas
2. Ministerio de Salud de la República Argentina. Recomendaciones Nacionales de Vacunación Argentina 2012. http://www.msal.gob.ar/images/stories/bes/graficos/0000000451cnt-2013-06_recomendaciones-vacunacion-argentina-2012.pdf
3. Organización Mundial de la Salud. Hoja de información sobre las tasas observadas de reacciones a vacunas. Vacuna Bacilo de Calmette-Guérin (BCG); 2012. https://www.who.int/vaccine_safety/initiative/tools/BCG_Vaccine_rates_information_sheet_ES.pdf?ua=1
4. Ministerio de Salud de la República Argentina. Vacunación Segura: Vigilancia de eventos supuestamente atribuibles a la vacunación o inmunización (ESAVI); 2012. http://www.msal.gob.ar/images/stories/bes/graficos/0000000448cnt-2014-01_manual-vacunacion-segura-esavi.pdf
5. Lotte A, Wasz-Hockert O, Poisson N, Engbaek H, Landmann H, Quast U, et al. Second IUATLD study on complications induced by intradermal BCG-vaccination. Bull Int Union Tuberc Lung Dis 1988;63(2):47-59. PMID: 3066422
6. Organización Mundial de la Salud. Documento de posición de la OMS sobre las vacunas BCG. Boletín Epidemiológico Semanal 2018;8(93):73-96. http://www9.who.int/immunization/policy/position_papers/pp_bgc_2018_ES.pdf
7. Lin WL, Chiu NC, Lee PH, Huang AS, Huang FY, Chi H, et al. Review management of Bacillus Calmette-Guérin osteomyelitis/osteitis in immunocompetent children-A systematic review. Vaccine 2015;33(36):4391-7. https://doi.org/10.1016/j.vaccine.2015.07.039
