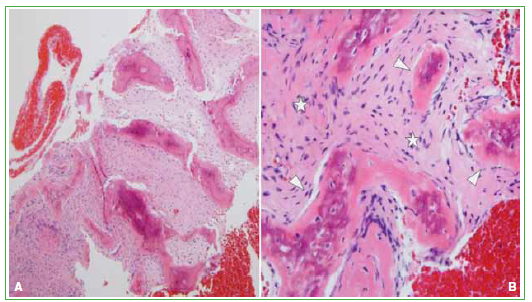
Displasia fibrosa de columna lumbar en una mujer de mediana edad. Presentación de un caso
Contenido principal del artículo
Resumen
Descargas
Métricas
Detalles del artículo
La aceptación del manuscrito por parte de la revista implica la no presentación simultánea a otras revistas u órganos editoriales. La RAAOT se encuentra bajo la licencia Creative Commons 4.0. Atribución-NoComercial-CompartirIgual (http://creativecommons.org/licenses/by-nc-sa/4.0/deed.es). Se puede compartir, copiar, distribuir, alterar, transformar, generar una obra derivada, ejecutar y comunicar públicamente la obra, siempre que: a) se cite la autoría y la fuente original de su publicación (revista, editorial y URL de la obra); b) no se usen para fines comerciales; c) se mantengan los mismos términos de la licencia.
En caso de que el manuscrito sea aprobado para su próxima publicación, los autores conservan los derechos de autor y cederán a la revista los derechos de la publicación, edición, reproducción, distribución, exhibición y comunicación a nivel nacional e internacional en las diferentes bases de datos, repositorios y portales.
Se deja constancia que el referido artículo es inédito y que no está en espera de impresión en alguna otra publicación nacional o extranjera.
Por la presente, acepta/n las modificaciones que sean necesarias, sugeridas en la revisión por los pares (referato), para adaptar el trabajo al estilo y modalidad de publicación de la Revista.
Citas
2. Murphey M, Andrews C, Flemming D, Temple T, Smith S, Smirniotopoulos J. From the archives of the AFIP. Primary tumors of the spine: radiologic pathologic correlation. Radiographics 1996;16(5):1131-58. https://dx.doi.org/10.1148/radiographics.16.5.8888395
3. Miller T. Bone tumors and tumor-like conditions: analysis with conventional radiography. Radiology 2008;246(3):662-74. https://doi.org/10.1148/radiol.2463061038
4. Remotti F, Feldman F. Nonneoplastic lesions that simulate primary tumors of bone. Arch Pathol Lab Med 2012;136(7):772-88. https://doi.org/10.5858/arpa.2011-0557-RA
5. Chow LTC, Griffith J, Chow WH, Kumta SM. Monostotic fibrous dysplasia of the spine: report of a case involving the lumbar transverse process and review of the literature. Arch Orthop Trauma Surg 2000;120(7):460-4. https://doi.org/10.1007/pl00013774
6. Fitzpatrick K, Taljanovic M, Speer D, Graham A, Jacobson J, Barnes J, et al. Imaging findings of fibrous dysplasia with histopathologic and intraoperative correlation. AJR Am J Roentgenol 2004;182(6):1389-98. https://doi.org/10.2214/ajr.182.6.1821389
7. Park H, Yang S, Sheppard W, Hegde V, Zoller S, Nelson S, et al. Current management of aneurysmal bone cysts. Curr Rev Musculoskelet Med 2016;9(4):435-44. https://doi.org/10.1007/s12178-016-9371-6
8. Munday T, Jobnson M, Whayes C, Thompson E, Smokei W. Musculoskeletal causes of spinal axis compromise: beyond the usual suspects. Radiographics 1994;14(6):1225-45. https://doi.org/10.1148/radiographics.14.6.7855338
9. Buraczewski J, Dabska M. Pathogenesis of aneurysmal bone cyst. Relationship between the aneurysmal bone cyst and fibrous dysplasia of bone. Cancer 1971;28(3):597-604. https://doi.org/10.1002/1097-0142(197109)28:3<597::aid-cncr2820280311>3.0.co;2-i
10. Kransdorf M, Sweet D. Aneurysmal bone cyst: concept, controversy, clinical presentation, and imaging. AJR Am J Roentgenol 1995;164(3):573-80. https://doi.org/10.2214/ajr.164.3.7863874
11. Lee JW, Kim JH, Han SH, Kang HI. Fibrous dysplasia with aneurysmal bone cyst presenting as painful solitary skull lesion. J Korean Neurosurg Soc 2010;48(6):551-4. https://doi.org/10.3340/jkns.2010.48.6.551
12. Martinez V, Sissons HA. Aneurysmal bone cyst. A review of 123 cases including primary lesions and those secondary to other bone pathology. Cancer 1988;61(11):2291-2304. https://doi.org/10.1002/1097-0142(19880601)61:11<2291::aid-cncr2820611125>3.0.co;2-v
13. Asazuma T, Sato M, Masuoka K, Yasuoka H, Tsuji T, Aida S. Monostotic fibrous dysplasia of the lumbar spine. Case report and review of the literature. J Spinal Disord Tech 2005;18(6):535-8. https://doi.org/10.1097/01.bsd.0000127703.75711.e7
