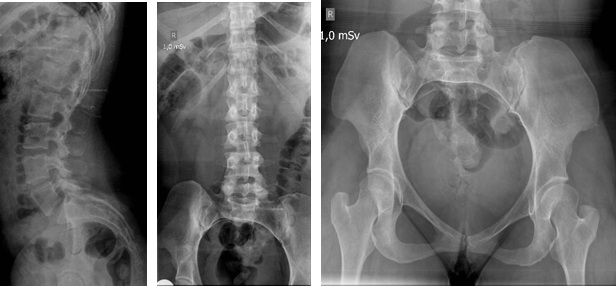
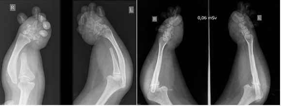
Síndrome de Grebe. Reporte de un caso. [Grebe syndrome. Case report.]
Main Article Content
Abstract
Downloads
Metrics
Article Details

This work is licensed under a Creative Commons Attribution-NonCommercial-ShareAlike 4.0 International License.
Manuscript acceptance by the Journal implies the simultaneous non-submission to any other journal or publishing house. The RAAOT is under the Licencia Creative Commnos Atribución-NoComercial-Compartir Obras Derivadas Igual 4.0 Internacional (CC-BY-NC.SA 4.0) (http://creativecommons.org/licences/by-nc-sa/4.0/deed.es). Articles can be shared, copied, distributed, modified, altered, transformed into a derivative work, executed and publicly communicated, provided a) the authors and the original publication (Journal, Publisher and URL) are mentioned, b) they are not used for commercial purposes, c) the same terms of the license are maintained.
In the event that the manuscript is approved for its next publication, the authors retain the copyright and will assign to the journal the rights of publication, edition, reproduction, distribution, exhibition and communication at a national and international level in the different databases. data, repositories and portals.
It is hereby stated that the mentioned manuscript has not been published and that it is not being printed in any other national or foreign journal.
The authors hereby accept the necessary modifications, suggested by the reviewers, in order to adapt the manuscript to the style and publication rules of this Journal.
References
2. Costa T, Ramsby G, Cassia F. Grebe syndrome: Clinical and radiographic findings in affected individuals and heterozygous carries. Am J Med Genet 1988: 75: 523/529.
3. Baraitser M, Winter RM. Oxford: Oxford University Press; 2009. London Dysmorphology Database, London Medical Databases.
4. Du Pan CM. Absence congenitale du perone sans deformation du tibia: Curieuses deformations congenitales des mains. Rev Orthop. 1924;11:227–34.
5. Langer LOE, Jr, Cervenka J, Camargo M. A severe autosomal recessive acromesomelic dysplasia, the Hunter-Thompson type, and comparison with the Grebe type. Hum Genet.1989;81:323–8.
